doi: 10.56294/saludcyt20241118
REPORTE DE CASO
Giant mesenteric lipoma as an atypical cause of acute abdomen in adult patients, uncommon case report and literature review
Lipoma mesentérico gigante como causa atípica de abdomen agudo en paciente adulto, Reporte de caso infrecuente y revisión de la literatura
José Vicente Fonseca Barragán1
*,
Armando Quiñonez Valencia1
*,
Alison Nicole Vásquez Vélez2
*,
Jhonatan Francisco Morillo Trujillo3
*,
Lucia Mayte Medina Guevara4
*,
Wendy Estefanía Chinchin Correa5
*, Víctor Ernesto Soliz Calle6
*, Patricia Jordana
Valdivieso Estupiñán7
*,
Melissa Valeria Cantos Marcillo6
*, Carlos Steewarth Gudiño justicia6
*
1Hospital Delfina Torres De Concha MSP, Cirugía General. Esmeraldas, Ecuador.
2Hospital Delfina Torres De Concha MSP, Esmeraldas Ecuador.
3Hospital Básico De Esmeraldas IESS, Cirugía General. Esmeraldas, Ecuador.
4Distrito de salud de Esmeraldas 08D01, Ministerio de salud pública.
5Universidad Central del Ecuador, Quito Ecuador
6Hospital Delfina Torres De Concha MSP, Esmeraldas Ecuador
7Sociedad de Lucha contra el Cáncer, Solca, Medicina Interna Guayaquil, Ecuador.
Citar como: Fonseca Barragán JV, Quiñonez Valencia A, Vásquez Vélez AN, Morillo Trujillo JF, Medina Guevara LM, Chinchin Correa WE, Soliz Calle VE, Valdivieso Estupiñán PJ, Cantos Marcillo MV, Gudiño justicia CS. Giant mesenteric lipoma as an atypical cause of acute abdomen in adult patients, uncommon case report and literature review. Salud, Ciencia y Tecnología. 2024; 4:1118. https://doi.org/10.56294/saludcyt20241118
Enviado: 13-02-2024 Revisado: 01-05-2024 Aceptado: 20-06-2024 Publicado: 21-06-2024
Editor: Dr. William
Castillo-González
ABSTRACT
Lipomas are benign tumors of mature adipocytes. In general, they can occur throughout the body, but they commonly predominate in the upper part of the trunk and extremities. They are the most common mesenchymal cell tumors, their location in the mesentery being extremely rare. Mesenteric lipoma is a rare condition reported in the literature, it should be considered in the differential diagnosis of unexplained abdominal pain. This report describes a rare case of mesenteric lipoma in an adult patient. Despite the benign nature of this tumor, it tends to grow to large dimensions, as is the case of our patient, which correlates with an increase in complications. Small, asymptomatic mesenteric lipomas generally do not require treatment, being diagnosed incidentally through routine abdominal imaging, or they may present with variable abdominal symptoms depending on the size, location, and rate of growth of the tumor. Complementary tests such as ultrasound and computed tomography of the abdomen are useful for diagnosis, the latter being the gold standard and complete surgical resection is the only treatment, with an excellent prognosis. We will describe the case of a giant mesenteric lipoma, which atypically caused acute abdominal pain, and we will carry out a review of the literature on this rare condition in adult patients with certain comorbidities, taking into account the infrequent location of its location for this type of tumors and its in turn, through a histopathological study, rule out any type of malignant behavior.
Keywords: Lipoma; Mesentery; Acute Abdomen.
RESUMEN
Los lipomas son tumores benignos de adipocitos maduros, en general pueden ocurrir en todo el cuerpo, pero suelen predominar comúnmente en la parte superior del tronco y extremidades. Son los tumores de células mesenquimales más comúnes, siendo la ubicación de estos en el mesenterio extremadamente rara.El lipoma mesentérico es una afección rara reportada en la literatura, debe ser considerado en el diagnóstico diferencial del dolor abdominal inexplicable. Este informe describe un caso raro de lipoma mesentérico en una paciente adulta. A pesar de la naturaleza benigna de este tumor, tiende a crecer alcanzando grandes dimensiones como es el caso de nuestra paciente, que se correlacionan con un aumento de las complicaciones. Los lipomas mesentéricos pequeños y asintomáticos generalmente no suelen requerir tratamiento, diagnosticándose incidentalmente mediante imágenes abdominales de rutina o bien pueden presentarse con síntomas abdominales variables según el tamaño, ubicación y la rapidez de crecimiento del tumor. Los exámenes complementarios como la ecografía y la tomografía computarizada del abdomen son útiles para el diagnóstico, siendo esta ultima el gold standar y la resección quirúrgica completa es el único tratamiento, con excelente pronóstico. Describiremos el caso de un lipoma mesentérico gigante, que causo de forma atípica dolor abdominal agudo, y realizaremos una revisión de la literatura sobre esta rara condición en paciente adulta con ciertas comorbilidades, teniendo en cuenta lo infrecuente de su localización para este tipo de tumores y a su vez por medio de un estudio histopatológico descartar cualquier tipo de comportamiento maligno.
Palabras clave: Lipoma; Mesenterio; Abdomen Agudo.
INTRODUCCION
Por definición, los lipomas son tumores benignos de adipocitos maduros, que en general puede ocurrir en todo el cuerpo, pero suelen predominar comúnmente en la parte superior del tronco y extremidades. Son los tumores de células mesenquimales más comunes, siendo la ubicación de estos en el mesenterio extremadamente rara. (1,2) Se han informado pocos casos de lipomas mesentéricos en la literatura médica con aproximadamente 50 casos descritos, su etiología es algo desconocida, pero existen diversos factores asociados, dentro de los cuales se incluye, obesidad, diabetes, hipercolesterolemia, antecedentes familiares, radioterapia, translocación cromosómica.(3,4,5,6,7,8,9,10,11,12)
Los lipomas mesentéricos pequeños y asintomáticos generalmente no suelen requerir tratamiento, diagnosticándose incidentalmente mediante imágenes abdominales de rutina o bien pueden presentarse con síntomas abdominales variables según el tamaño, ubicación y la rapidez de crecimiento del tumor.(4) Pueden alcanzar grandes dimensiones y complicarse incluso con necrosis tisular, perforación de vísceras adyacentes y peritonitis, siendo en estos casos el tratamiento exclusivamente quirúrgico. Pueden crecer hasta alcanzar dimensiones masivas y presentarse con síntomas abdominales al final del curso de la enfermedad.(4)
Describiremos el caso de un lipoma mesentérico gigante, que causo de forma atípica dolor abdominal agudo, y realizaremos una revisión de la literatura sobre esta rara condición en paciente adulta con ciertas comorbilidades, debido a que su forma de presentación de una lesion tumoral de rápido crecimiento que ocasiona sintomatología abdominal, nos motiva a su revisión y presentación, teniendo en cuenta lo infrecuente de su localización para este tipo de tumores y a su vez por medio de un estudio histopatológico descartar cualquier tipo de comportamiento maligno.
REPORTE DE CASO
Se trata de una paciente de sexo femenino de 59 años de edad, con antecedentes de importancia de hipertensión arterial diagnosticada hace 6 años en tratamiento con enalapril 20 mg más amlodipino 10 mg día. Que acude a medico de centro de salud por presentar cuadros episódicos de dolor abdominal que cedían con analgesia más distensión abdominal, donde le realizan ecografía abdominal apreciándole una masa intraabdominal de gran tamaño hipoecogénica, por lo que es remitida a la emergencia de hospital principal donde presenta exacerbación del cuadro con dolor abdominal de moderada intensidad, difuso, más nausea y aumento del perímetro abdominal.
Al examen físico: orientada en tiempo y espacio, Glasgow 15/15, normocefálica, mucosas hidratadas. Cuello sin adenopatías, Tórax con campos pulmonares ventilados, ruidos cardiacos rítmicos. Abdomen: globoso, distendido, doloroso a la palpación profunda de forma difusa a predominio de hemi-abdomen izquierdo, donde se palpa masa poco móvil, no pulsátil, no evidencia de signos de irritación peritoneal, matidez a la percusión en todos los cuadrantes abdominales, ruidos hidroaéreos presentes. No evidencia de adenopatías inguino–crurales. Al tacto vaginal no se hayan signos de valor y los genitales internos no parecen estar formando parte del proceso.
Dentro de los paraclínicos en los laboratorios los exámenes complementarios de rutina no aportaron datos de interés diagnóstico: biometría hemática: leucocitos: 4,48 neutrófilos: 41 hemoglobina: 14,5 hematocrito: 42,4 plaquetas: 282 Glucosa: 108, Urea: 32, Creatinina: 0,8, Ácido úrico: 6,6 Tgo: 25 Tgp:22 Bt: 0,42 Bd:0,11, Bi:0,31, Ldh: 185, Na:140, K:3,6, Cl:104, Hcgb: negativo Hepatitis B y C: negativo VDRL: negativo HIV: no reactivo, Marcadores tumorales: cea : 1,05 AFP: 1,38 CA 125: 11,27 CA 19,9: 4,41.
En los estudios de imagen la radiografía de abdomen: no se evidencian signos de obstrucción intestinal, se aprecia algo desplazadas las asas intestinales hacia el hemi-abdomen derecho (figura 1).

Figura 1. Radiografía de abdomen

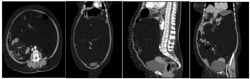
Figura 2. Tomografía computarizada abdomino-pélvica
La tomografía computarizada abdomino-pélvica realizada el 14/12/2023, reportó lesión homogénea hipodensa, de predominio graso (-127 UH), con focos isodensos periféricos, no realzan al medio de contraste, desplazan asas intestinales lateralmente hacia la derecha. No se observan adenopatías, no liquido libre en cavidad, reportando un diagnóstico por imagen de lesión ocupativa intraabdominal sugestiva de lipoma mesentérico (figura 2).
Se le realizo dentro de los estudios de extensión una endoscopia digestiva alta la misma que reporta como estudio endoscópico normal.
Con todos los estudios realizados la paciente es programada para intervención quirúrgica con diagnostico pre y postquirúrgico de lipoma mesentérico gigante donde se le realiza una laparotomía exploratoria más exéresis del lipoma mesentérico, mediante la realización de una incisión supra-infra umbilical media, reportando como hallazgo transquirúrgico:
Un tumor lipomatoso mesentérico gigante de aproximadamente 50x40 cm de diámetro con múltiples lóbulos, de origen en el mesenterio, sin compromiso de asas intestinales ni de estructuras adyacentes (figura 3).
Se ligo los vasos mesentéricos nutricios del lipoma, se sutura mesenterio donde se originaba la masa tumoral, se verifica hemostasia y se deja colocado un drenaje de Jackson Pratt en fondo de saco de Douglas.
En su evolución postquirúrgica, presento dolor en herida quirúrgica, abdomen suave depresible, no distensión, no signos de peritonitis ruidos hidroaéreos presentes, drenaje seroso. Se inicio dieta la cual tolero favorablemente, se mantuvo con antibioticoterapia profiláctica, y es dada de alta previo retiro del drenaje de Jackson Pratt, y se dio seguimiento por consulta externa hasta la espera de resultado histopatológico.
Microscopia: los cortes histológicos mostraron neoplasia mesenquimal benigna, constituida por adipocitos maduros, sin cambios de atipia celular, cuyos núcleos son pequeños, excéntricos y citoplasma vacuolados. Dichos adipocitos se agrupan entre si formando lóbulos, separados por finos septos de tejido fibroconectivo con pequeños vasos de paredes delgadas y leve infiltrado inflamatorio linfomononuclear. No se observaron cambios neoplásicos malignos en la muestra examinada. Se determina diagnóstico de Lipoma mesentérico maduro (figura 5).

Figura 3. Hallazgo transquirúrgico de lipoma mesentérico
Estudio histopatológico
Macroscopia: fragmento de tejido adiposo, que mide 4 x 2,7 x 2cm, superficie lobulada, amarillo blanquecino, al corte blando, con finas bandas blanquecinas, en su espesor (figura 4).

Figura 4. Macroscopía

Figura 5. Microscopía
DISCUSIÓN
Los lipomas son considerados los tumores mesenquimales más comunes. La gran mayoría se encuentran en el tejido celular subcutáneo, sin embargo, pueden desarrollarse en prácticamente todos los órganos del cuerpo y pueden ser únicos o múltiples, superficiales o profundos. (11,12) Son de crecimiento lento, blandos y móviles que no suelen invadir órganos adyacentes. Los lipomas profundos se originan en el tórax, mediastino, pleura, pelvis, retroperitoneo, área paratesticular y, muy raramente, en el mesenterio intestinal donde es denominado lipoma mesentérico. (7,8,9,10,11,12,13,14) El primer reporte de un lipoma intraabdominal intestinal fue descrito por Bauer en 1757.(2)
Por lo general ocurren entre la cuarta y sexta décadas de la vida y son raros en los niños, representa sólo el 4,8 % de todos los casos. Los tumores mesentéricos tienen una incidencia estimada de 1/100,000. (3) No existe una predilección de género definida, presentando una ligera preponderancia en el sexo femenino, los factores predisponentes descritos son diabetes mellitus, obesidad, dislipidemia, predisposición genética, traumatismos y radioterapia previa. (8,9)
La mayoría suelen ser asintomáticos y se diagnostican incidentalmente mediante estudios de imagen, como por ejemplo en una ecografía abdominal de rutina. Se presentan principalmente en el íleon y la raíz del mesenterio. Cuando es asintomático, pueden crecer hasta alcanzar proporciones significativas y producir compresión extrínseca. Existe considerable variabilidad en los síntomas de presentación, como dolor abdominal, vómitos, pérdida de peso, estreñimiento, diarrea, sangrado o dolor abdominal, síntomas que dependen del tamaño, rapidez de crecimiento, y ubicación del tumor. (1,2)
Un abdomen agudo puede ser un síntoma de presentación cuando los lipomas provocan compresión extrínseca, obstrucción intestinal, perforación o vólvulo. Ya que el tamaño del tumor está directamente relacionado con el riesgo de complicaciones, como obstrucción intestinal parcial o total por compresión directa o torsión intestinal. (4,5)
Sin embargo, incluso con tamaños más pequeños pueden servir como cabeza de invaginación que puede conducir a la invaginación intestinal. De forma sistemática en las revisiones reportadas en la literatura médica de los lipomas sintomáticos, el dolor fue el síntoma de presentación más común (68,7 %) seguido de náuseas o vómitos (35,3 %) y hematoquecia o hemorragia gastrointestinal (33 %). Mientras el intestino permita el paso del bolo alimenticio, los lipomas mesentéricos a menudo no causan síntomas gastrointestinales. Cuando el tumor está cerca de la luz intestinal y lejos desde la raíz mesentérica, puede causar dolor abdominal al presionar las asas intestinales. (4,5)
Dentro de los estudios de imagen utilizados para el diagnóstico, la ecografía suele ser la primera modalidad de imagen utilizada la misma que muestra una masa ecogénica homogénea o heterogénea, que puede confundirse con la grasa mesentérica normal.3 El método estándar de diagnóstico es la Tomografía computarizada (TC) con contraste la cual muestra una masa de tejido adiposo, márgenes bien definidos y vasos mesentéricos corriendo en el mesenterio involucrado con densidad grasa. (5,6)
El mesenterio ileal es la ubicación más común ya sea en la raíz o en el borde luminal de la misma. La TC puede determinar si el origen del tumor es omental o mesentérico, describir las características anatómicas precisas y también resaltar cambios isquémicos o signos de obstrucción intestinal. La resonancia magnética del abdomen también proporciona buena caracterización del tejido y delimitación anatómica de la masa. Muestra una intensidad de señal homogénea análoga a la del tejido adiposo en todas las secuencias, con tabiques fibrosos delgados mostrando hipointensidad en T1 y T2. (4,5)
Dentro de las modalidades de tratamiento, en la mayoría de los casos, la escisión quirúrgica completa se realiza fácilmente, ya que la cápsula que rodea el tumor presenta un plano de segmentación claro. (17) El tamaño del tumor tiene un impacto significativo sobre la elección de la estrategia de tratamiento óptimo. Los tumores pequeños asintomáticos a menudo no se tratan, mientras que los lipomas grandes y los sintomáticos se tratan mediante escisión total ya sea mediante laparotomía o laparoscopia. La resección del tumor junto con el asa intestinal involucrada y la anastomosis de termino terminal es el método de tratamiento habitual en los casos que el tumor se encuentre firmemente adherido al intestino, mientras que los procedimientos laparoscópicos (16) pueden estar indicada particularmente en casos de lipoma pequeño con un plano claro de división entre el tumor y los órganos adyacentes como el intestino, permitiendo así la enucleación de la masa. (7,8)
El diagnóstico diferencial incluye: quiste dermoide, liposarcoma, proliferación mesentérica fibrosa grasa, tumor de ovario, linfagioma, linfangiolipoma, linfoma, adenopatías retroperitoneales y principalmente el lipoblastoma. (7,8,9,10,11,12,13,14,15)
Macroscópicamente, los lipomas son blandos, bien capsulados, ovalados, amarillos y difieren poco en apariencia microscópica de la grasa circundante. Al igual que la grasa, están compuestas de células grasas maduras, pero las células varían ligeramente en tamaño y forma y son algo más grandes, midiendo hasta 200 micrómetros de diámetro. Se diferencian de los liposarcomas, que tienen una apariencia heterogénea y contienen septos gruesos con extensión del tumor a órganos adyacentes. (3,4,5,6,7,8,9)
Otros diferenciales raros se debe evocar el diagnóstico, en particular el lipoblastoma, el cual es un tumor benigno de células grasas inmaduras y se localiza en las extremidades en el 60 % de los casos, además, suele verse en la infancia. Sin embargo, sus características son, no homogéneas, septadas e hiperecogénicas. La apariencia en la ecografía y la tomografía facilita la diferenciación de un lipoma.(8) El linfagioma se diferencia fácilmente por sus marcadas multisepciones y apariencia quística, mientras que el linfangiolipoma es diferenciado por su organización quística dentro del tumor en la ecografía y tomografía. (9)
La tasa de recurrencia de los lipomas mesentéricos es inferior al 5 % y generalmente se debe a una escisión incompleta.(9)
El lipoma mesentérico de nuestra paciente se manifestó por dolor abdominal sin signos de obstrucción intestinal, pero si un aumento progresivo de la circunferencia abdominal, siendo en nuestro caso la tomografía la que mostró una lesión mesentérica típica con gran hipodensidad que abarcaba prácticamente la totalidad de la cavidad abdominal, lo que nos orientó al diagnóstico y poder decidir la conducta terapéutica apropiada.
El postoperatorio de la paciente transcurrió la parte abdominal con una adecuada evolución postquirurgica, con buena tolerancia oral, abdomen sin signos de peritonismo, ruidos hidroaereos presentes, dren de características serosas el cual posteriormente fue retirado, realizaba deposiciones a partir del tercer día después de la cirugía. La parte torácica si presento como novedad un derrame pleural izquierdo el cual se dreno mediante toracocentesis evacuatoria. El examen histopatológico confirmó el diagnóstico de lipoma mesentérico benigno.
CONCLUSIONES
Aunque el lipoma mesentérico es una afección rara reportada en la literatura, debe ser considerado en el diagnóstico diferencial del dolor abdominal inexplicable. Este informe describe un caso raro de lipoma mesentérico en una paciente adulta con ciertas comorbilidades, que presento dolor abdominal inespecífico, pudiendo presentar dificultades diagnósticas por la ausencia de hallazgos de laboratorio alterados y por síntomas vagos e inespecíficos.
A pesar de la naturaleza benigna de este tumor, tiende a crecer alcanzando grandes dimensiones como es el caso de nuestra paciente, que se correlacionan con un aumento de las complicaciones. Los exámenes complementarios como la ecografía y la tomografía computarizada del abdomen son útiles para el diagnóstico, siendo esta ultima el gold standar y la resección quirúrgica completa es el único tratamiento, con excelente pronóstico.
En conclusión, una masa abdominal asintomática, aumento de la circunferencia abdominal de forma progresiva, y el hallazgo de una masa hipodensa intraabdominal en la TAC contrastada es el criterio de diagnóstico principal. El diagnóstico diferencial es principalmente con el lipoblastoma o el liposarcoma.
REFERENCIAS BIBLIOGRÁFICAS
1. Hamidi H, Rasouly N, Khpalwak H, Malikzai MO, Faizi AR, Hoshang MMS, et al. Childhood giant omental and mesenteric lipoma. Radiol Case Rep. 2016;11(1):41-4.
2. Suga Y, Abdi E, Bekele M. Giant mesenteric lipoma causing small bowel volvulus: case report. Ethiop J Health Sci. 2019;29(4):529-32.
3. Turk E, Edirne Y, Karaca F, Memetoglu ME, Unal E, Ermumcu O. A rare cause of childhood ileus: giant mesenteric lipoma and a review of the literature. Eurasian J Med. 2013;45 (3):222-5.
4. Sirikci A, Bayram M, Kervancioglu R, et al. Abdomino pélvico lipomatosis in a child with indefinite physical findings. Pediatr Radiol. 2000; 30:480.
5. Mohammed AM, Yakubu AA. Giant retroperitoneal lipoma in an infant. J Surg Tech Case Rep. 2010;2(1):33–4.
6. Cha JM, Lee JI, Joo KR, Choe JW, Jung SW, Shin HP. Giant mesenteric lipoma as an unusual cause of abdominal pain: A case report and a review of the literature. J Korean Med Sci. 2009;24(2):333–6.
7. Vijayan N, Thekkeveettil M, Sundaram S, Krishnadas S. Giant Mesenteric lipoma in an adult. ACG Case Rep J. 2022;9(1): e00728.
8. Abtar HK, Abdallah FK, Lakkis RS, et al. Giant adult mesenteric lipoma: a rare cause of chronic abdominal distention and discomfort. Case Rep Surg. 2020; 2020:6010757.
9. Ilhan H, Tokar B, Işiksoy S, Koku N, Pasaoglu O. Giant mesenteric lipoma. J Pediatr Surg. 1999;34(4):639-640.
10. Kaniklides C, Frykberg T, Lundkvist K. Paediatric mesenteric lipoma, an unusual cause of repeated abdominal pain. A case report. Acta Radiol. 1998;39(6):695-697
11. Tayeh C, Mneimneh S, ElMasri R, Daoud N, Rajab M. Giant mesenteric lipoma: a case report and a review of the literature. J Pediatr Sur Case Rep. 2015;3(4):166-170.
12. Buono GD, Ricupati F, Amato G, et al. small bowel volvulus due to a large intestinal lipoma: A rare case report. Int J Surg Case Rep 2020;77: s101–4.
13. Abdallah FK, Lakkis RS, Terro JJ, et al. Giant adult mesenteric lipoma: a rare cause of chronic abdominal distention and discomfort. Case Rep Surg 2020;2020(25):6010757.
14. Dufay C, Abdelli A, Le Pennec V, et al. Mesenteric tumors: Diagnosis and treatment. J Visc Surg 2012;149: e239–51.
15. Srinivasan KG, Gaikwad A, Ritesh K, et al. Giant omental and mesenteric lipoma in an infant. African J Paediatr Surg 2009;6(1):68–9.
16. Sherer DM, Lysikiewicz A, Chambers JT, et al. Large mesenteric lipoma ultrasonographically mimicking a mature cystic teratoma during pregnancy. J Ultrasound Med 2002;21(4):473–6.
17. Watt DG, Sanjay P, Walsh SV, et al. Mesenteric lipoma causing small bowel perforation: a case report and review of literature. Scott Med J 2012;57(4):1–3.
CONFLICTOS DE INTERÉS
Los autores señalan no tener conflictos de interés.
CONSIDERACIONES ÉTICAS
La paciente estuvo de acuerdo en la presentación de este trabajo y brindó consentimiento firmado por escrito para la realización de este reporte.
FINANCIAMIENTO
Los autores declaran que se financio el presente trabajo con recursos propios.
AGRADECIMIENTOS
A todos los autores que hicieron posible la publicación de este manuscrito.
CONTRIBUCIÓN DE AUTORÍA
Conceptualización: Jose Fonseca, Patricia Valdivieso, Jhonatan Morillo.
Curación de datos: Jose Fonseca, Jhonatan Morillo, Melissa Cantos.
Análisis formal: Jose Fonseca, Armando Quiñonez.
Adquisición de fondos: Jose Fonseca, Armando Quiñonez.
Investigación: Jose Fonseca, Patricia Valdivieso, Jhonatan Morillo, Melissa Cantos.
Metodología: Jose Fonseca, Víctor Soliz, Steewarth Gudiño.
Administración del proyecto: Jose Fonseca, Lucia Medina, Wendy Chinchin, Alison Vásquez.
Recursos: Jose Fonseca, Wendy Chinchin, Alison Vásquez.
Software: Jose Fonseca.
Supervisión: Jose Fonseca, Patricia Valdivieso, Jhonatan Morillo.
Validación: Jose Fonseca, Víctor Soliz, Steewarth Gudiño.
Visualización: Jose Fonseca, Jhonatan Morillo, Melissa Cantos.
Redacción – borrador original: Jose Fonseca.
Redacción – revisión y edición: Jose Fonseca, Patricia Valdivieso, Jhonatan Morillo, Melissa Cantos, Lucia Medina, Wendy Chinchin, Alison Vásquez, Víctor Soliz, Steewarth Gudiño, Armando Quiñonez.