doi: 10.56294/saludcyt2024.596
REPORTE DE CASO
Dengue and malaria coinfection in a traveling patient: Case study
Coinfección por dengue y malaria en paciente viajero: Estudio de caso
Joshua Culcay Delgado1
*, Cindy Giselle Díaz Contino2
*, Saul Alexander Coloma Vera3
*, Dalila Auxiliadora
Muñoz Rodríguez4
*, Beatriz Ariza Ayala5
*
1Universidad San Gregorio de Portoviejo, Cátedra de Microbiología Médica. Portoviejo, Ecuador.
2Universidad San Gregorio de Portoviejo, Dirección de Investigación. Portoviejo, Ecuador.
3Universidad San Gregorio de Portoviejo, Estudiante de medicina. Portoviejo, Ecuador.
4Hospital de Especialidades Portoviejo, Jefatura de Medicina Interna. Portoviejo, Ecuador.
5Hospital Universitario San Ignacio, Grupo de Investigación en Ciencias de Laboratorio Clínico, Hospital Universitario San Ignacio; Grupo de Investigación de Enfermedades Infecciosas. Bogotá, Colombia.
Citar como: Culcay Delgado J, Díaz Contino CG, Coloma Vera SA, Muñoz Rodríguez DA, Ayala BA. Dengue and malaria coinfection in a traveling patient: Case study. Salud, Ciencia y Tecnología. 2024; 4:.596. https://doi.org/10.56294/saludcyt2024.596
Enviado: 05-03-2024 Revisado: 04-06-2024 Aceptado: 14-09-2024 Publicado: 15-09-2024
Editor: Dr.
William Castillo-González ![]()
Autor para la correspondencia: Joshua Culcay Delgado *
ABSTRACT
Introduction: dengue and malaria are two prevalent diseases in the tropics, transmitted by vectors, and cause different morbidity and fatality rates. However, coinfection of dengue and malaria is relatively rare but clinically significant, since both diseases can have severe manifestations and their coexistence complicate diagnosis and treatment.
Clinical Case: the clinical case of a male patient, 32 years old, resident in Angola, who entered Ecuador twenty-one days prior to the onset of symptoms, with no history, was hospitalized for unquantified temperature rise, myalgia, arthralgia and fatigue. His clinical picture is exacerbated with abdominal pain in the right upper quadrant and generalized rash, BP: 105/58 mmHg, HR: 108 bpm, RR: 18 rpm, pulse oximetry 98 %, T°: 38°C, dry oral mucosa, expansibility of the decreased chest, dysrhythmic heart, no murmurs, painful abdomen, absent fluid sounds, extremities without edema. The rapid antigen test performed was positive for Plasmodium falciparum, thick smear positive for Plasmodium falciparum.
Discussion: the simultaneous treatment of malaria and dengue required careful monitoring of warning signs and possible complications; collaboration between health professionals from Ecuador and Angola was necessary for the successful management and handling of the patient.
Conclusions: documentation of such cases should influence health policies and the planning of preventive strategies, such as vaccination, vector control, and preventive education of travelers before visiting endemic areas.
Keywords: Arbovirus; Vector-Borne Diseases, Traveler’s Infections, Malaria; Dengue.
RESUMEN
Introducción: dengue y malaria son dos enfermedades prevalentes de los trópicos, transmitidas por vectores, y provocan distintas tasas de morbilidad y letalidad. Sin embargo, la coinfección de dengue y malaria es relativamente rara pero clínicamente significativa, ya que ambas enfermedades pueden tener manifestaciones graves y su coexistencia complicar el diagnóstico y tratamiento.
Caso Clínico: se presenta el caso clínico de un paciente se sexo masculino, 32 años, residente en Angola, con ingreso a Ecuador de veintiún días previo a inicio de sintomatología, sin antecedentes, fue hospitalizado por alza térmica no cuantificada, mialgias, artralgias y fatiga. Su cuadro clínico se exacerba con dolor abdominal en hipocondrio derecho y rash generalizado, TA: 105/58 mmHg, FC: 108 lpm, FR: 18 rpm, pulsioximetría del 98 %, T°: 38°C, mucosas orales secas, tórax expansibilidad disminuida, corazón disrrítmico, no soplos, abdomen doloroso, ruidos hidroaéreos ausentes, extremidades sin edema. La prueba rápida de antígenos realizada fue positiva para Plasmodium falciparum, gota gruesa positiva a Plasmodium falciparum.
Discusión: el tratamiento simultáneo de malaria y dengue requirió una cuidadosa monitorización de los signos de alarma y las posibles complicaciones, fue necesario la colaboración entre profesionales de la salud de Ecuador y Angola para la gestión y el manejo exitoso del paciente.
Conclusiones: la documentación de tales casos debe influir en las políticas de salud y en la planificación de estrategias preventivas, como la vacunación, el control de vectores, y la educación a los viajeros sobre medidas preventivas antes de visitar áreas endémicas.
Palabras clave: Arbovirosis; Enfermedades Transmitidas por Vectores, Infecciones del Viajero, Malaria; Dengue.
INTRODUCCIÓN
Según la Organización Mundial de la Salud(1) el número de casos de malaria aumentó significativamente, alcanzando los 249 millones en 2022. Este incremento es notable en comparación con los datos pre-pandemia de 2019, cuando se registraron 233 millones de casos. Las muertes por malaria también mostraron un ligero incremento, pasando de 544,000 en 2019 a 608,000 en 2022. Los países más afectados continúan siendo predominantemente de los continentes asiático y africano. En Latinoamérica, solo Argentina ha sido certificada por la OMS como libre de malaria desde 2020.
La situación entre la malaria y el dengue es diametralmente opuesta cuando se analiza la prevalencia de ambas enfermedades en diferentes contextos geográficos. La malaria sigue siendo una de las principales causas de morbilidad y mortalidad en Asia y África, el dengue es la arbovirosis más significativa en las Américas, con un alto número de casos reportados anualmente. Mientras que la malaria tiene una prevalencia global que supera en más de 10 veces a la del dengue, esta última es sin duda la arbovirosis más importante en América Latina.(1,2)
En 2023, la región de las Américas reportó un total de 4,2 millones de casos de dengue, superando el récord anterior de 2019, cuando se registraron 3,1 millones de casos, la situación empeoró para 2024, año en el que se han reportado 8,8 millones de casos de dengue, aumentando un 231 % en comparación al mismo periodo en 2023. Esta cifra incluye más de 6,500 casos graves y 2,050 muertes. Entre las semanas epidemiológicas (SE) 1 y 49 de 2023, se reportaron 4,192,479 casos, con una tasa de incidencia de 421 casos por cada 100,000 habitantes. Los países con mayor número de casos fueron Brasil, con 2,909,404 casos; Perú, con 271,279 casos; y México, con 244,511 casos.(1,3)
Con relación a la situación específica de Ecuador respecto al dengue, hasta la semana epidemiológica 11 de 2024, se reportaron 13075 casos de dengue, 277 % en comparación con el promedio de los último 5 años. Este incremento significativo refleja un aumento en la incidencia de la enfermedad, con una tasa de 886 casos por cada 100,000 habitantes. En contraste, en el 2022, Ecuador reportó un total de 1,348 casos autóctonos de malaria y 42 casos importados mientras que para 2023 los casos fueron de 690 en todo el territorio.(4) Estos datos reflejan la presencia continua de malaria en ciertas áreas del país, aunque en menor escala comparada con el dengue.(3)
Estas cifras evidencian que el dengue, y la malaria en menor escala, son problemas de salud pública en Ecuador, y se requiere una respuesta coordinada y sostenida para mitigar su impacto. especialmente durante la temporada de lluvias, cuando las condiciones son propicias para la proliferación de mosquitos. El objetivo de la investigación fue describir un caso de coinfección por dengue y malaria en un paciente viajero, residente en Angola y atendido en la ciudad de Portoviejo, Ecuador, en enero de 2023.(3,5)
CASO CLÍNICO
Paciente masculino de 32 años, residente en Angola y sin antecedentes médicos relevantes, fue hospitalizado por presentar fiebre de catorce días de evolución. Además, refería mialgias, artralgias y fatiga. Decidió automedicarse con paracetamol, notando una leve mejoría. A las 48 horas del inicio de los síntomas, se realizó una prueba rápida de antígenos facilitada por un médico ocupacional en su país de residencia, la cual resultó negativa.
El cuadro clínico persistió de manera insidiosa, dependiente de los antitérmicos. Sin embargo, se exacerbó con dolor abdominal en el hipocondrio derecho y un rash generalizado. Las constantes vitales al ingreso fueron: TA 105/58 mmHg, FC 108 lpm, FR 18 rpm, pulsioximetría 98 %, T° 38°C. El examen físico mostró mucosas orales secas, tórax con expansibilidad disminuida y leve reducción del murmullo vesicular en el tercio inferior derecho. El corazón presentaba arritmia sin soplos. El abdomen era doloroso en el hipocondrio derecho, con signo de Murphy positivo y ausencia de ruidos hidroaéreos. Las extremidades no presentaban edema y el llenado capilar era de 3 segundos.
La evaluación paraclínica realizada en el hospital mostró los siguientes resultados:
· Prueba rápida de antígenos: Positiva para Plasmodium falciparum.
· Gota gruesa: Positiva para Plasmodium falciparum, observándose un campo lleno (ver figura 1).
· ELISA para anticuerpos contra dengue:
-IgG: Positivo
-IgM: Positivo
· Detección de NS1: Negativa
· Hemoglobina: 13,9 g/dL
· Hematocrito: 39,7 %
· Plaquetas: 37,000 /µL

Figura 1. Microscopia de gota gruesa
Fuente: Centro de Salud Portoviejo.
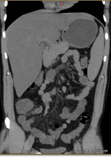
En la tomografía de abdomen se observó hepatomegalia y asas intestinales distendidas (ver figura 2). Estos resultados confirman la coinfección por dengue y malaria. La presencia de anticuerpos IgG e IgM positivos para dengue sugiere una infección reciente o activa, mientras que la prueba rápida de antígenos y la gota gruesa positivas para Plasmodium falciparum confirman la malaria. La trombocitopenia (baja cantidad de plaquetas) es común en ambas infecciones y contribuye a la gravedad del cuadro clínico. La tomografía que muestra hepatomegalia y asas intestinales distendidas indica complicaciones adicionales asociadas a estas infecciones, como el agrandamiento del hígado y la distensión intestinal, lo cual puede estar relacionado con el impacto sistémico de ambas enfermedades.

Figura 2. Tomografía de abdomen
Fuente: Departamento de Imagenología, Hospital de Especialidades Portoviejo.
La gestión clínica de esta coinfección debe enfocarse en el tratamiento simultáneo de ambos patógenos, con especial atención a los signos de alarma y a las complicaciones potenciales. El tratamiento del paciente se basó inicialmente en el protocolo de actuación frente a malaria de Ecuador, siguiendo las recomendaciones de la Vigilancia Epidemiológica Zonal. Este tratamiento consistía en:
· Artemeter + Lumefantrina (20/120 mg): 4 tabletas vía oral administradas a las 0, 8, 24, 36, 48 y 60 horas.
· Primaquina (15 mg): 4 tabletas vía oral en una dosis única, calculada a 0,75 mg/kg/peso/día.
· Manejo de líquidos: Según el protocolo de dengue para pacientes de categoría B.
Este tratamiento inicial permitió al paciente notar una leve mejoría y mantenerse afebril. Sin embargo, a las 36 horas de iniciado el tratamiento, el paciente presentó un nuevo pico febril. Ante esta situación, se consultó con un médico ocupacional de Angola, quien indicó que el Plasmodium falciparum circulante en dicho país presentaba resistencia a los antimicrobianos utilizados.
En consecuencia, se decidió cambiar al esquema de tratamiento utilizado en Angola, el cual consistía en:
· Artemeter + Lumefantrina (80/480 mg): Una tableta cada 12 horas por tres días.
· Doxiciclina (100 mg): Una tableta vía oral cada 12 horas.
Con este tratamiento, el paciente mostró una notable mejoría y fue dado de alta después de 6 días de hospitalización.
DISCUSIÓN
La coinfección de dengue y malaria es relativamente rara pero clínicamente significativa, ya que ambas enfermedades pueden tener manifestaciones graves y su coexistencia puede complicar el diagnóstico y tratamiento.(6) La coinfección involucra diferentes vectores y hospederos que mantienen contacto con ellos o viajan a diferentes áreas geográficas donde estén presentes. Aunque se considera un evento raro, se ha informado con poca frecuencia, y varios autores creen que puede haber subregistro.
Gebremariam et al.(7) estimaron la prevalencia de la coinfección por malaria y dengue en el continente africano, encontrando una media del 4,7 %, siendo más prevalente en África central en comparación con el 1,6 % en África occidental. La coinfección por Plasmodium falciparum y el virus del dengue ha ido en aumento, pasando de un 0,9 % en el periodo comprendido entre 2008 y 2013, a un 5,5 % en el periodo de 2018 a 2021 (p=0,0441).
En el estudio de Dulcey et al.(8), se describe un caso de coinfección por malaria y dengue en Venezuela, donde se observó que la presentación clínica de la coinfección tiende a ser más severa que en las infecciones únicas y que presenta con mayor frecuencia criterios de malaria severa. Además, se destaca que la coinfección puede imponerse sobre la presentación clínica de la malaria, haciendo aún más complicado el diagnóstico y manejo clínico.
Existen estudios que subrayan la importancia de factores contextuales y personales en la epidemiología y la gravedad de las infecciones tropicales. Mientras que Shetty & Shetty(9) destacan la mayor prevalencia de infecciones en zonas rurales debido a factores ambientales y de infraestructura. Yuan et al.(10) se enfocan en los factores de riesgo individuales que aumentan la probabilidad de desarrollar dengue grave. Aludir a la hipótesis diagnóstica de que un paciente viajero, con diagnóstico confirmado de malaria importada de África, presente además una coinfección por virus del dengue circulante en las Américas resulta muy difícil, más aún cuando ambas entidades comparten clínica. Según un estudio realizado por Buss et al.(11) las enfermedades tropicales representan el 33 % de los casos totales de fiebre en viajeros. Dentro de estas enfermedades, la malaria es la más prevalente, representando el 22 % de los casos, mientras que el dengue representa el 5 %.
La presentación clínica de ambas enfermedades puede ser similar, incluyendo síntomas como fiebre, dolor de cabeza, y dolores musculares, lo que puede llevar a diagnósticos erróneos o retrasados. El manejo de estos síntomas debe equilibrarse con la seguridad de los medicamentos utilizados para evitar exacerbaciones de efectos secundarios o interacciones adversas.(12) Documentar estos casos ayuda a mejorar el reconocimiento temprano y la diferenciación entre ambas enfermedades. Es imprescindible mencionar que, al analizar los índices de probabilidad positivos, se puede inferir que los síntomas más prevalentes en un paciente viajero con fiebre son la esplenomegalia, la trombocitopenia y la hiperbilirrubinemia en la malaria;(13) lo cual contribuye a confirmar la presencia del padecimiento. La identificación temprana de estos signos clínicos puede guiar a los profesionales de la salud hacia un manejo adecuado y oportuno, mejorando así los resultados para los pacientes.
El manejo de la coinfección puede ser complejo debido a las interacciones potenciales entre los medicamentos utilizados para tratar cada enfermedad. Los tratamientos estándar para la malaria, como la artemeter-lumefantrina y la primaquina, alcanzan a tener interacciones con medicamentos utilizados para el manejo del dengue. Por ejemplo, la artemeter-lumefantrina puede causar efectos adversos cardíacos, especialmente cuando se combina con otros medicamentos que prolongan el intervalo QT del corazón.(13)
Aunque no hay tratamientos antivirales específicos para el dengue, el manejo de los síntomas puede incluir el uso de analgésicos y antipiréticos como el paracetamol. Sin embargo, el uso de antiinflamatorios no esteroides (AINEs) está contraindicado debido al riesgo de hemorragia, lo cual es particularmente preocupante en pacientes con malaria que ya tienen un riesgo aumentado de sangrado debido a la trombocitopenia.(14)
En cuanto a las complicaciones de clínicas, tanto la malaria como el dengue pueden causar trombocitopenia, lo que aumenta el riesgo de sangrado.(13,15) El manejo debe ser cuidadoso para evitar complicaciones hemorrágicas, especialmente en el contexto de la malaria severa donde puede haber hemorragias espontáneas.
Como estrategias terapéuticas, los protocolos deben adaptarse para permitir la administración segura de tratamientos combinados, con vigilancia estrecha para detectar y manejar efectos adversos tempranamente.(16) En algunos casos, puede ser necesario ajustar las dosis o seleccionar medicamentos alternativos para minimizar los riesgos. Asimismo, el manejo de la hidratación es crucial en pacientes con dengue para prevenir el choque, pero debe equilibrarse cuidadosamente para evitar sobrecarga de líquidos en pacientes con malaria que pueden tener compromiso renal.
El presente caso, evidencia cómo los viajeros pueden actuar como vectores para la diseminación de enfermedades infecciosas, y pretende alertar a los sistemas de salud pública y a los profesionales de la salud sobre la necesidad de monitorear y controlar estas infecciones en áreas no endémicas, los cuales deben estar capacitados para reconocer y manejar infecciones importadas, asegurando una respuesta rápida y eficaz.
CONCLUSIONES
La coinfección por dengue y malaria, aunque rara, es una posibilidad real en pacientes que han viajado a zonas endémicas de ambas enfermedades. Este caso específico ilustra cómo un viajero puede adquirir ambas infecciones y presentar un cuadro clínico complejo a su retorno. Los síntomas clínicos de dengue y malaria se superponen significativamente, incluyendo fiebre, dolor de cabeza, mialgias y fatiga. Esta superposición puede complicar el diagnóstico diferencial y retrasar el tratamiento adecuado.
El diagnóstico de coinfección requiere el uso de múltiples pruebas diagnósticas específicas para cada enfermedad. En este caso, se utilizó la gota gruesa para detectar Plasmodium falciparum y la serología para confirmar la infección por dengue, subrayando la importancia de un enfoque diagnóstico integral. El manejo de la coinfección es complejo debido a las posibles interacciones entre los medicamentos para tratar cada enfermedad. Este caso resalta la importancia de la vigilancia epidemiológica y el control de enfermedades infecciosas en áreas no endémicas. Los sistemas de salud deben estar preparados para identificar y manejar coinfecciones en viajeros, implementando protocolos de vigilancia y control adecuados.
REFERENCIAS BIBLIOGRÁFICAS
1. Informe mundial sobre la malaria 2023 [Internet]. Ginebra: Organización Mundial de la Salud; 2023 [citado 2024 Jul 11]. Disponible en: https://www.who.int/es/teams/global-malaria-programme/reports/world-malaria-report-2023
2. Informe anual de la OMS sobre el paludismo pone de relieve la creciente amenaza del cambio climático [Internet]. Ginebra: Organización Mundial de la Salud; 2023 [citado 2024 Jul 11]. https://www.who.int/es/news/item/30-11-2023-who-s-annual-malaria-report-spotlights-the-growing-threat-of-climate-change
3. Gaceta de Enfermedades Vectoriales 2024 [Internet]. Ecuador: Ministerio de Salud Pública; 2024 [citado 2024 Jul 11]. Disponible en: https://www.salud.gob.ec/wp-content/uploads/2024/02/GACETA-ENF-VECTORIALES-SE-1-2024.pdf
4. Informe de la situación epidemiológica del dengue en las Américas [Internet]. Pan American Health Organization, 2024 [citado 2024 Jul 11]. Disponible en: https://www.paho.org/plisa
5. Dengue – La Región de las Américas [Internet]. World Health Organization, 2024 Health Organization. https://www.who.int/emergencies/disease-outbreak-news/item/2023-DON475
6. Gautam A, Aryal U, Bhandari S, Pradhan S, Bhattarai U, Mishra A, et al. Dengue and malaria coinfection: The first case report in Nepal. Oxf Med Case Reports. 2022[citado 2024 Jul 11], (3):103–5. https://doi.org/10.1093%2Fomcr%2Fomac022
7. Gebremariam TT, Schalling HDFH, Kurmane ZM, Danquah JB. Increasing prevalence of malaria and acute dengue virus coinfection in Africa: a meta-analysis and meta-regression of cross-sectional studies. Malar J.2023[citado 2024 Jul 11] ;22(1). https://doi.org/10.1186/s12936-023-04723-y
8. Dulcey L, Theran J, Parales R, Caltagironne R. Descripción de la coinfeccion Malaria Dengue a proposito de un caso clinico primera descripción en el IAHULA. Acta Bioclínica. 2022[citado 2024 Jul 11]; 12(24):158–69. https://dialnet.unirioja.es/servlet/articulo?codigo=8929565
9. Shetty NP, Shetty PS. Epidemiology of disease in the tropics. Manson’s Tropical Diseases, 19 [citado 2024 Jul 11]. https://doi.org/10.1016%2FB978-1-4160-4470-3.50007-0
10. Yuan K, Chen Y, Zhong M, Lin Y, Liu L. Risk and predictive factors for severe dengue infection: A systematic review and meta-analysis. PLoS One. 2022 [citado 2024 Jul 11];17(4)11. https://doi.org/10.1371%2Fjournal.pone.0267186
11. Buss I, Genton B, D’Acremont V. Aetiology of fever in returning travellers and migrants: a systematic review and meta-analysis. J Travel Med. 2020 [citado 2024 Jul 11]; 27(8) doi:10.1093/jtm/taaa207.
12. Salam N, Mustafa S, Hafiz A, Chaudhary AA, Deeba F, Parveen S. Global prevalence and distribution of coinfection of malaria, dengue and chikungunya: a systematic review. BMC Public Health. 2018[citado 2024 Jul 11]; 18:1-20. doi:10.1186/s12889-018-5626-z.
13. Desmet S, Henckaerts L, Ombelet S, Damanet B, Vanbrabant P. Imported diseases in travellers presenting to the emergency department after a stay in a malaria-endemic country: a retrospective observational study. Trop Dis Travel Med Vaccines. 2023[citado 2024 Jul 11]; 9(1):3. doi:10.1186/s40794-023-00190-0.
14. Kitro A, Ngamprasertchai T, Srithanaviboonchai K. Infectious diseases and predominant travel-related syndromes among long-term expatriates living in low-and middle-income countries: a scoping review. Trop Dis Travel Med Vaccines. 2022[citado 2024 Jul 11]; 8(1):11. doi: 10.1186/s40794-022-00168-4.14.
15. Epelboin L, Hanf M, Dussart P, Ouar-Epelboin S, Djossou F, Nacher M, et al. Is dengue and malaria co-infection more severe than single infections? A retrospective matched-pair study in French Guiana. Malar J. 2012[citado 2024 Jul 11]; 11:1-8. doi: 10.1186/1475-2875-11-142.
16. Kotepui M, Kotepui KU. Prevalence and laboratory analysis of malaria and dengue co-infection: a systematic review and meta-analysis. BMC Public Health. 2019[citado 2024 Jul 11]; 19:1-12. doi: 10.1186/s12889-019-7489-3.
.
FINANCIACIÓN
Los autores no recibieron financiación para el desarrollo de la presente investigación.
CONFLICTO DE INTERESES
Los autores declaran que no existe conflicto de intereses.
LIMITACIONES DEL ESTUDIO
El presente reporte de caso, se basa en la clínica, la epidemiología, y el antecedente de viaje del paciente, sin embargo, para poder tener una certeza superior de la existencia de una coinfección es necesario establecer el diagnóstico por biología molecular, al cual no se tuvo acceso al momento de la atención del paciente.
CONTRIBUCIÓN DE AUTORÍA
Conceptualización: Joshua Israel Culcay Delgado.
Curación de datos: Joshua Israel Culcay Delgado, Samuel Alexander Coloma Vera.
Análisis formal: Joshua Israel Culcay Delgado, Dalila Auxiliadora Muñoz Rodríguez.
Investigación: Joshua Israel Culcay Delgado, Samuel Alexander Coloma Vera.
Metodología: Cindy Giselle Díaz Contino.
Administración del proyecto: Cindy Giselle Díaz Contino.
Software: Cindy Giselle Díaz Contino.
Supervisión: Beatriz Ariza Ayala.
Validación: Beatriz Ariza Ayala.
Visualización: Joshua Israel Culcay Delgado.
Redacción – borrador original: Joshua Israel Culcay Delgado.
Redacción – revisión y edición: Cindy Giselle Díaz Contino, Beatriz Ariza Ayala.