doi: 10.56294/saludcyt2024.569
REPORTE DE CASO
Infiltrating resin in orthodontic white spot lesions in patients at the San Gregorio de Portoviejo University
Resina infiltrante en lesiones de mancha blanca por ortodoncia en pacientes de la Universidad San Gregorio de Portoviejo
Rosa Yolanda Haro Párraga1
*, Gema Nataly Barreiro Mendoza1
*
1Universidad San Gregorio de Portoviejo, Manabí, Ecuador.
Citar como: Haro Párraga RY, Barreiro Mendoza GN. Infiltrating resin in orthodontic white spot lesions in patients at the San Gregorio de Portoviejo University. Salud, Ciencia y Tecnología. 2024; 4:.569. https://doi.org/10.56294/saludcyt2024.569
Enviado: 29-01-2024 Revisado: 17-05-2024 Aceptado: 08-10-2024 Publicado: 09-10-2024
Editor: Dr.
William Castillo-González ![]()
Autor para la correspondencia: Rosa Yolanda Haro Párraga *
ABSTRACT
Orthodontic treatment can cause adverse effects in patients such as tooth discoloration, which is why timely dental care is required. Thus, the objective of this article is to determine the effectiveness of infiltrating resin as an aesthetic treatment in patients diagnosed with white spot lesions treated at the San Gregorio de Portoviejo University in 2023. The research approach is qualitative, the design of the study is descriptive, the methods that guide the study have been inductive-deductive, historical-logical, analysis-synthesis, observational, and documentary review. The sample represents 2 patients with enamel lesions. The treatment applied was Icon infiltrating resin with better results such as dental remineralization.
Keywords: Tooth Discoloration; White Spot Lesions; Enamel Lesions; Orthodontics; Resin.
RESUMEN
El tratamiento de ortodoncia puede causar efectos adversos en los pacientes como la decoloración de dientes por lo que se requiere de una oportuna atención odontológica. De este modo, el objetivo del presente artículo es determinar la eficacia de la resina infiltrante como tratamiento estético en pacientes diagnosticados con lesiones de mancha blanca atendidos en la Universidad San Gregorio de Portoviejo en el año 2023. El enfoque de la investigación es cualitativo, el diseño del estudio es descriptivo, los métodos que guía el estudio han sido el inductivo-deductivo, histórico-lógico, análisis-síntesis, observacional y revisión-documental. La muestra la representan 2 pacientes con lesiones de esmalte. El tratamiento aplicado ha sido resina infiltrante Icon con la obtención de mejores resultados como la remineralización dentaria.
Palabras clave: Decoloración de Dientes; Lesiones Manchas Blancas; Lesiones Esmalte; Ortodoncia; Resina.
INTRODUCCIÓN
La ortodoncia como especialidad odontológica tiene como propósitos determinar, evitar, interceptar y tratar las malposiciones dentarias y trastorno maxilofacial.(1) Además, se agrega que los objetivos de la ortodoncia son funcionales y estéticos, por ello está ligada a los avances científicos y técnicos.(2) En la actualidad, existe una tendencia posmoderna por realizar acciones de manera rápida y cómoda, de este modo, la ortodoncia ha divisado la consecuencia del fenómeno. Los pacientes solicitan tratamientos estéticos donde los ortodoncistas desean efectuar procedimientos más fáciles y menos complicados.(3)
Se puntualiza que, una de las mayores preocupaciones, tanto de pacientes y ortodoncistas, es el tiempo de duración de los tratamientos de ortodoncia.(4) De este modo, se hace hincapié que, en la cavidad oral, los aparatos de ortodoncia pueden provocar lesiones de mancha blanca, placa dental, reabsorción radicular hasta enfermedades periodontales.(5) Directamente, la acumulación de placa que provocan los aparatos genera que los pacientes con tratamiento de ortodoncia presenten alteraciones, requiriendo un mayor control de la higiene bucal.(6)
Los efectos colaterales en el tratamiento de ortodoncia se han transformado en la primordial inquietud por parte del ortodoncista, debido a que durante el tratamiento existen diferentes efectos indeseados. Por ello, es preciso poseer conocimientos sobre cada uno ellos para el respectivo tratamiento y/o prevención, y de esta forma elegir un plan asistencial factible para los pacientes.(7)
Consoli y Robles(8) puntualizan, el tratamiento de ortodoncia está asociado a una mayor prevalencia de las lesiones de mancha blanca, relacionadas estrechamente con técnicas de ligado convencional, autoligado y alineadores. Se presentan en la zona del tercio gingival en caninos e incisivos laterales maxilares.
Por su parte, Ramírez et al.(9) evidenciaron que, durante el tratamiento de ortodoncia el 26 % de 87 pacientes desarrollaron lesiones de mancha blanca, y la mayor prevalencia ha sido en el tercio gingival, en el colmillo derecho superior y en dientes con tamaño de corona clínica más grande. Mientras, Suárez y Ampuero(10) señalan, el incisivo maxilar lateral derecho es la pieza con mayor prevalencia a lesión de mancha blanca, además, el número de estas lesiones aumenta según el tiempo en el tratamiento.
El desarrollo de lesiones de mancha blanca (LMB) surge cuando la higiene oral es deficiente. Por ello, existe un significativo riesgo relacionado con el tratamiento de ortodoncia porque los aparatos de ortodoncia fijos transfiguran los procesos de aseo bucal habituales más difíciles e incrementan los espacios de retención de placa.(11)
Nieto et al.(12) catalogan como un problema de salud mundial a las LMB por efecto de tratamiento ortodónticos. La apariencia antiestética y cavitación, requieren de atención odontológicas con urgentes procedimientos restaurativos. Sánchez y Tay(13) sostienen, las LMB son el efecto de la agresión de ácidos orgánicos que tienen la capacidad de causar alteración de la estructura y formación del esmalte, vinculados a la apariencia de factores de riesgo como mala higiene bucal, el tiempo prolongado y edades tempranas del tratamiento ortodóntico. Por ello, Núñez et al.(14) mencionan, que el tratamiento con resina infiltrante es una terapia micro invasiva de mejor opción porque contribuye en la significativa disminución de las manchas con la conservación de la estructura dental.
Un nuevo enfoque más conservador, en los últimos años, se ha perfeccionado para detección y control de lesiones cariosas iniciales, utilizando la técnica con resinas infiltrativas, desarrollada con el propósito de contribuir a los tratamientos no invasivos siendo empleadas como procedimiento para diagnosticar lesiones cariosas no cavitadas; sin embargo, en la actualidad su utilización se ha propagado para el tratamiento de otro tipo de lesiones que causan afectación al esmalte.(15)
De acuerdo con lo expuesto, se denota que la aplicación de resina se considera como una técnica valiosa para la reducción de la mancha blanca. La técnica no siendo invasiva ni perjudicial para la salud integral del paciente aporta en la estética personal y permite dejar en evidencia resultados favorables para las respectivas aplicaciones según corresponda cada caso, teniendo en cuesta siempre los resultados de valoración odontológica efectuadas para así reducir errores adversos.
Ante lo expuesto, Matute y Medina(16) mencionaron que se ha desarrollado una resina de baja viscosidad, idónea para infiltrarse en el tejido dentario desmineralizado sin necesidad de remoción del tejido sano. Presenta propiedades que ayudan, principalmente, a la remoción de manchas blancas y tratamiento de lesiones cariosas. Nahuelhuaique et al.(17) sostienen, la penetración en el tejido poroso dando soporte mecánico y aumentando la resistencia al ataque ácido es la idea principal de la infiltración con resina más no la creación de una superficie de sellado en la lesión. Jumbo et al.(18) sostienen, la efectividad del tratamiento se asocia con diagnóstico correcto acompañado con diagnóstico visual, tacto o palpación y estudios radiográficos.
Orta et al.(19) indican, la infiltración de resina Icon se representa como la mejor opción para tratar las lesiones de manchas blancas porque se logran observar resultados inmediatos y significativos en la detención de la progresión de la lesión. Por su parte, Pomacóndor y Hernandes(20) sostienen, la resina infiltrante es de manera mínima invasiva porque salvaguarda el tejido dental a diferencia de otros procesos que carcomen la lesión de mancha blanca para la obtención de un mejoramiento estético.
Sandoval et al.(21) enfatizan, el espectro terapéutico del ortodoncista incrementa con la infiltración de resina, y también los odontológicos generales en las áreas del esmalte afectadas con lesiones moderadas de manchas blancas aparecidas luego de la ortodoncia y que logran ser mejoradas en el aspecto original. Asimismo, Torres y col.(22) mencionan, la autoestima de los pacientes jóvenes se ve afectada con la presencia de defectos en el esmalte, ya que pueden generar un impacto negativo en el bienestar principalmente de adolescentes creando una percepción diferente de ellos mismos lo que resalta como un tema relevante en el contexto de salud bucal. El tratamiento con resinas infiltrantes genera resultados sin eliminación del tejido dentario.
El objetivo de este artículo fue analizar la efectividad del uso de resina infiltrante en el tratamiento de lesiones de mancha blanca inducidas por ortodoncia en pacientes de la Universidad San Gregorio de Portoviejo, con el fin de mejorar la estética dental y prevenir la progresión de las lesiones.
PRESENTACIÓN DEL CASO
Se describen dos pacientes atendidos en la Universidad San Gregorio de Portoviejo, ambos con lesiones de manchas blancas provocadas por el uso prolongado de ortodoncia. Los pacientes habían llevado ortodoncia durante un periodo de 3 a 5 años, y el tratamiento correctivo aplicado para abordar las manchas blancas fue la infiltración de resina en las áreas afectadas.
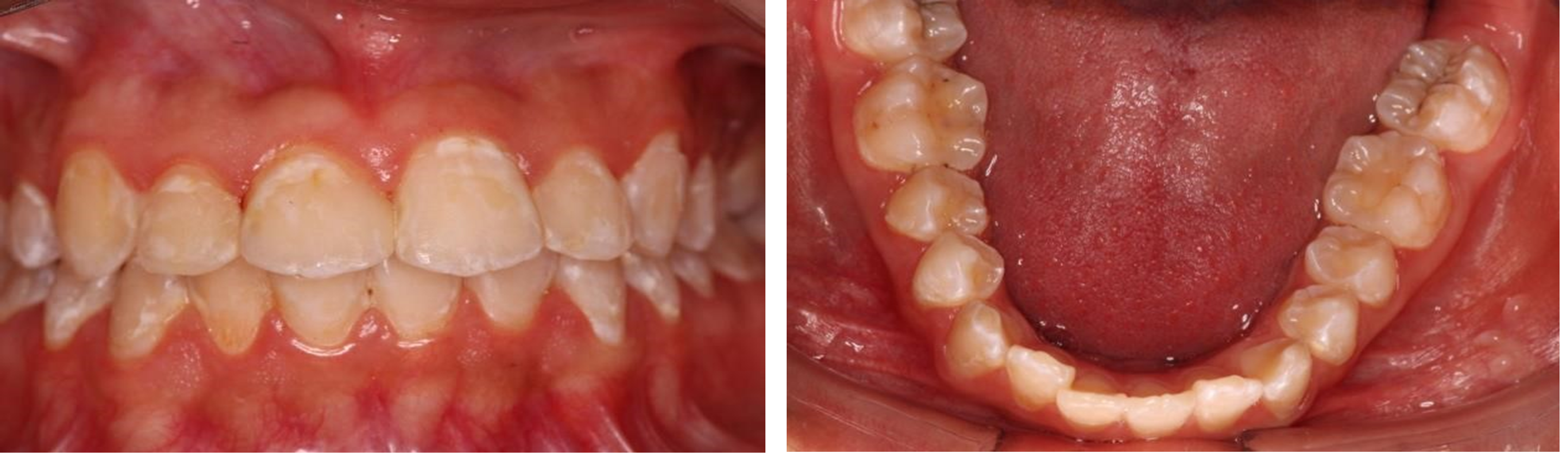
El primer caso es una paciente femenina de 14 años, residente en Guayaquil, con 3 años de tratamiento ortodóntico. Según su historial clínico (PES0227), nació a término mediante parto normal sin complicaciones. La paciente ha sido tratada con paracetamol para gripes e infecciones estomacales recientes. Su dieta incluye tres comidas diarias, además de consumo frecuente de comida chatarra. Se observó la presencia de manchas blancas, indicativas de pérdida de contenido mineral en el esmalte, aunque la paciente no presenta síntomas. En cuanto a la higiene bucal, indicó que a veces se cepilla dos veces al día y otras solo una, sin uso de enjuague bucal.

Figura 1. Estado de la dentadura del paciente 1
En la exploración física (figura 1), se diagnosticó una mancha blanca y placa bacteriana, primera manifestación de caries según el Sistema Internacional de Detección y Valoración de Caries (ICDAS 0). Como tratamiento, se decidió realizar la infiltración de resina con Icon, logrando la desaparición de algunas manchas y mejorando la integridad del esmalte.
El segundo caso corresponde a un paciente masculino de 17 años de edad, residente en Guayaquil. Nacido a las 38 semanas y media mediante parto normal, sin complicaciones ni enfermedades asociadas al nacimiento. Ha llevado ortodoncia durante 5 años. Actualmente, el paciente no presenta problemas de salud y se describe como asintomático. En cuanto a sus hábitos de higiene bucal, manifestó que generalmente se cepilla solo una vez al día.
El paciente presentó manchas blancas y pérdida de contenido mineral en el esmalte de los dientes, como se observa en la figura 2. Además, mediante pruebas diagnósticas, se detectó la presencia de manchas blancas, placa bacteriana y la primera manifestación de caries, clasificada como ICDAS 0.

Figura 2. Estado de la dentadura del paciente 2
La figura 3 muestra la resina Icon utilizada en el tratamiento.

Figura 3. Resina Infiltrante utilizada en el tratamiento
Por su parte, en la figura 4 se muestra el proceso del tratamiento realizado en paciente 1.

Figura 4. Proceso del tratamiento realizado en paciente 1
DISCUSIÓN
En los casos presentados, se observó la presencia de placa bacteriana, caries incipientes (ICDAS 0) y manchas blancas tras el diagnóstico. Para mejorar la estética dental y la salud integral de los pacientes, se aplicó resina infiltrante, con resultados efectivos en la reducción de lesiones. Los pacientes cooperaron activamente durante el tratamiento, y el control posterior mostró una disminución significativa en las manchas blancas.
Según Telatar y Telatar(5) las manchas blancas aumentan considerablemente durante los tratamientos de ortodoncia, por lo que es fundamental que tanto profesionales como pacientes sean conscientes de los riesgos y tomen medidas preventivas. Suarez y Ampuero(10) señalan que los ortodoncistas deben insistir en una buena higiene bucal para prevenir complicaciones como caries y manchas blancas, que afectan tanto la estética como la salud dental.
Nieto et al.(12) enfatizan que las manchas blancas no deben ser vistas únicamente como un problema estético, sino como una patología que puede tener efectos a largo plazo, por lo que es importante tratarlas con técnicas mínimamente invasivas, como la resina infiltrante. Esta técnica ha demostrado ser eficaz para restaurar la apariencia del esmalte y frenar el progreso de las lesiones.
Ramírez et al.(9) revelaron un aumento significativo de manchas blancas durante los tratamientos de ortodoncia, independientemente del género, destacando la importancia de que los ortodoncistas implementen estrategias para motivar a los pacientes a mantener una buena higiene dental.
Vargas et al.(11) señalan que las lesiones activas de manchas blancas tienen un mejor pronóstico gracias a la capacidad del esmalte poroso para incorporar minerales, lo que facilita el uso de resina infiltrante como una solución efectiva. Orta et al.(19) y Pomacóndor et al.(20) confirmaron que esta técnica es efectiva a corto, mediano y largo plazo, preservando el tejido dental sano sin la necesidad de procedimientos invasivos.
Rosel y Rodríguez(23) y Jumbo et al.(18) mencionan que la resina infiltrante, como el sistema Icon, es una solución rápida y eficaz para tratar manchas blancas. Además, García y Suarez(25) describen el kit Icon, destacando su facilidad de uso para lograr una aplicación óptima y reducir las lesiones de manchas blancas.
Estudios de caso, como el de Sandoval et al.(21), han demostrado que la infiltración de resina es una opción eficaz para mejorar la estética dental en pacientes con ortodoncia, mientras que Torres et al.(22) señalan que esta técnica es mínimamente invasiva y preserva el tejido dental. Finalmente, Chaple y Alea(26) concluyen que la resina infiltrante ofrece una solución conservadora que controla la propagación de las lesiones y mantiene las estructuras dentales sanas.
CONCLUSIONES
Los cánceres de cabeza y cuello son difíciles de tratar debido a la proximidad de estructuras La ortodoncia, aunque eficaz para corregir la dentadura, requiere que el paciente mantenga una adecuada higiene dental. En algunos casos, la falta de limpieza adecuada puede generar efectos secundarios, como la aparición de manchas blancas en los dientes. En este estudio, dos pacientes, un hombre y una mujer, presentaron lesiones de manchas blancas después del tratamiento ortodóntico. Como solución, se aplicó la resina infiltrante Icon, logrando una notable reducción de las lesiones. Se recomendó a los pacientes mejorar sus hábitos de higiene bucal y limitar el consumo de alimentos que desgastan el esmalte. También mostraron mayor interés por el cuidado dental durante la ortodoncia para prevenir futuras lesiones. La resina infiltrante Icon demostró ser efectiva, sellando el esmalte desmineralizado y evitando el avance de las manchas blancas, favoreciendo la remineralización de las piezas dentales afectadas.
REFERENCIAS BIBLIOGRÁFICAS
1. Leyton FO, Lima MV. Importancia del tratamiento oportuno en ortodoncia: Revisión bibliográfica. Revista Cientifica Dominio de las Ciencias. 2023; 9(2): 516-532. https://www.dominiodelasciencias.com/ojs/index.php/es/article/view/3227
2. Rivas G, Álvarez I, Mora C, Morera A, Pausa O. Avances científico técnicos en ortodoncia y su impacto social. Conrado. 2020; 16(72): 39-48. http://scielo.sld.cu/scielo.php?script=sci_arttext&pid=S1990-86442020000100039&lng=es&tlng=es.
3. Carvajal MF, Muñoz JP, Macías ZA. Ortodoncia: Paradigma del siglo XXI. Revista de Ciencias de la Salud, Salud y Vida. 2019; 3(6): 356-383. https://dialnet.unirioja.es/descarga/articulo/7097517.pdf
4. Zepeda-Diaz CF. Factores que Afectan la Duración de los Tratamientos de Ortodoncia en un Servicio Público de Salud. Int. J. Odontostomat. 2019; 13(3): 321-324. http://dx.doi.org/10.4067/S0718-381X2019000300321
5. Yildiz TG, Telatar BC. Oral health status after orthodontic treatment: a retrospective study. Odovtos. 2021; 23(3): 147-154. http://dx.doi.org/10.15517/ijds.2021.46061
6. Jiménez YD, Pérez L. Efectos colaterales en el tratamiento de ortodoncia. Revista Gaceta Médica Espirituana. 2021; 23(3): 168-180. https://revistas.uss.edu.pe/index.php/SVS/article/view/1286/1760
7. Jiménez YD. Efectos colaterales en el tratamiento de ortodoncia. Revista Científica Salud y vida Sipanense. 2020; 7(1): 56-68. https://doi.org/10.26495/svs.v7i1.1286
8. Consoli MV, Robles J. Características de las lesiones de mancha blanca asociadas al tratamiento de ortodoncia: Una revisión. Revista Científca Odontologica. 2023; 11(3): e168-. https://doi.org/10.21142/2523-2754-1103-2023-168
9. Ramírez P, Saldarriaga A, Castellanos L, Roldán S, Álvarez G. Prevalencia de manchas blancas antes y después del tratamiento de ortodoncia. Revista CES Odontología. 2014; 27(2): 61-67. https://dialnet.unirioja.es/descarga/articulo/4993185.pdf
10. Suarez S, Ampuero N. Gestión de salud bucal en clínicas de especialidades odontológicas de Ecuador. Revista Venezolana de Gerencia. 2020; 25(3): 195-202. https://dialnet.unirioja.es/descarga/articulo/8890899.pdf
11. Vargas J, Vargas P, Palomino H. Lesiones de mancha blanca en Ortodoncia. Conceptos actuales. Revista Avances de Odontoestomatología. 2016; 32(4): 272-278. http://scielo.isciii.es/scielo.php?script=sci_arttext&pid=S0213-12852016000400005
12. Nieto R, Serrato D, Montaño S, Loyola J. Incidencia de lesión de mancha blanca en las clínicas de ortodoncia de la Universidad Michoacana en Morelia, Michoacán, México. Revista Actualidad Médica. 2018; 103(803): 17-21. https://doi.org/10.15568/am.2018.803.or04
13. Sánchez M, Tay L. Lesiones de mancha blanca en pacientes con tratamiento de ortodoncia. Revisión de la Literatura. Revista Estomatológica Herediana. 2021; 31(1): 44-52. http://dx.doi.org/10.20453/reh.v31i1.3925
14. Ñuñez K, Parra G, Armijos F. Resina infiltrante: Tratamiento microinvasivo para lesiones de manchas blancas. Revista Arbitraria Interdisciplinaria de Ciencias de la Salud, Salud y Vida. 2022; 6(3): 1093-1098. https://dialnet.unirioja.es/descarga/articulo/8966218.pdf
15. Villegas J, Roncal R. Resinas infiltrativas como tratamiento para la fluorosis dental. Una revisión de literatura. Revista Estomatológica Herediana. 2022; 32(3): 272-278. http://dx.doi.org/10.20453/reh.v32i3.4285
16. Matute-Bueno XS. Infiltrantes resinosos, revisión de la literatura. Odontología Activa Revista Científica. 2018; 3(3), 75–80. https://doi.org/10.31984/oactiva.v3i3.264
17. Nahuelhuaique P, Díaz J, Sandoval P. Resinas infiltrantes: un tratamiento eficaz y mínimamente invasivo para el tratamiento de lesiones blancas no cavitadas. Revista Narrativa Avances en Odontoestomatología. 2017; 33(3): 181-186. http://scielo.isciii.es/scielo.php?script=sci_arttext&pid=S0213-12852017000300004&lng=es
18. Jumbo A, Sacoto C, Regalado E, Guevara P. Rehabilitación-resina ICON. Revista Recimundo. 2022; 6(2): 283-290. https://dialnet.unirioja.es/descarga/articulo/8410259.pdf
19. Orta JI, Hernández D, Ferrétiz YL, Gardini R, Cuevas CE, Rivera JA. Efectividad de resinas infiltrantes sobre lesiones de caries no cavitadas en esmalte: Revisión bibliográfica. Revista Salud y Educación. 2022; 10(20): 167-173. https://doi.org/10.29057/icsa.v10i20.8216
20. Pomacóndor C, Hernandes F. Infiltrantes para tratamiento estético de lesiones de manchas blancas por fluorosis: Reporte de caso. Revista Odovtos. 2020; 22(3): 43-49. http://dx.doi.org/10.15517/ijds.v0i0.36682
21. Sandoval P, Vogel R, Henríquez D, Knosel M. Manejo de Lesiones de Manchas Blancas Post-Ortodoncia: Manejo Clínico de la Técnica de Infiltración de Resina (Icon, DMG). International Journal of odontostomatology. 2016; 10(1): 29-33. http://dx.doi.org/10.4067/S0718-381X2016000100006
22. Torres-Rabello C, Rodríguez-Alvarez C, Bernafi-Retamal P, Corral-Núñezl C. Tratamiento estético de defecto de esmalte utilizando tratamiento combinado con resina infiltrante: Reporte de caso. Revista Internacional de Odontología Interdisciplinaria. 2020; 14(2): 177-180. http://dx.doi.org/10.4067/S2452-55882021000200177
23. Rosel E, Rodríguez A. Uso de resina infiltrante (Icon) como tratamiento mínimamente invasivo en las lesiones de mancha blanca. A propósito de un caso clínico. Revista Labor Dental Clínica. 2022; 3(23): 35-41. https://dialnet.unirioja.es/servlet/ejemplar?codigo=616682&info=open_link_ejemplar
24. Cabrera VY, Guerrero WR, Aguilar MY, Cedeño DA, Armas AC. Resinas infiltrantes aplicadas sobre superficies de esmalte dental afectado con caries incipiente estudio al microscopio electrónico de barrido. Revista Odontología. 2016; 18(1): 73-82. https://dialnet.unirioja.es/descarga/articulo/5597626.pdf
25. García L, Suárez L. Técnica de resina infiltrativa ICON para manejo estético de HMI. Revista de Odontopediatría Latinoamericana. 2021; 11. https://dialnet.unirioja.es/servlet/articulo?codigo=8668719&orden=0&info=link
26. Chaple A, Alea M. Infiltración de resina como tratamiento mínimamente invasivo de lesiones de caries dental incipiente. Revista Cubana de Estomatología. 2017; 54(1): 100-105. http://scielo.sld.cu/scielo.php?script=sci_arttext&pid=S0034-75072017000100009&lng=es
FINANCIACIÓN
Los autores no recibieron financiación para el desarrollo de la presente investigación.
CONFLICTO DE INTERESES
Los autores declaran que no existe conflicto de intereses.
CONTRIBUCIÓN DE AUTORÍA
Conceptualización: Rosa Yolanda Haro Párraga, Gema Nataly Barreiro Mendoza.
Análisis formal: Rosa Yolanda Haro Párraga, Gema Nataly Barreiro Mendoza.
Investigación bibliográfica: Rosa Yolanda Haro Párraga, Gema Nataly Barreiro Mendoza.
Metodología: Rosa Yolanda Haro Párraga, Gema Nataly Barreiro Mendoza.
Recursos: Rosa Yolanda Haro Párraga, Gema Nataly Barreiro Mendoza.
Software: Rosa Yolanda Haro Párraga, Gema Nataly Barreiro Mendoza.
Redacción – borrador original: Rosa Yolanda Haro Párraga, Gema Nataly Barreiro Mendoza.
Redacción – revisión y edición: Rosa Yolanda Haro Párraga, Gema Nataly Barreiro Mendoza.