doi: 10.56294/saludcyt2024.564
REPORTE DE CASO
Adenomatoid odontogenic tumor. Presentation of a clinical case
Tumor odontogénico adenomatoide. Presentación de un caso clínico
Francisco Xavier Vera Solorzano1
*,
Erick Sebastián Guillén Santana1
*,
Thainah Bruna Santos Zambrano1
*
1Universidad San Gregorio de Portoviejo. Manabí, Ecuador.
Citar como: Vera Solorzano FX, Guillén Santana ES, Santos Zambrano TB. Adenomatoid odontogenic tumor. Presentation of a clinical case. Salud, Ciencia y Tecnología. 2024;4:.564. https://doi.org/10.56294/saludcyt2024.564
Enviado: 27-01-2024 Revisado: 17-05-2024 Aceptado: 06-10-2024 Publicado: 07-10-2024
Editor: Dr.
William Castillo-González ![]()
Autor para la correspondencia: Francisco Xavier Vera Solorzano *
ABSTRACT
Adenomatoid odontogenic tumor (ATO) is a rare benign tumor that represents 3 % of odontogenic tumors. Originated from remains of the dental lamina or odontogenic epithelium, it occurs in three variants: follicular (73 %), extracystic (24 %) and intraosseous (3 %). The follicular variant is the most common and is usually associated with the crown of an unerupted tooth, typically a maxillary canine. It mainly affects young people in their second decade of life and presents as a painless and slow-growing increase in volume in the anterior maxillary region. In this study, the case of a 16-year-old patient with a follicular variant unicystic TOA in the right mandibular region is presented. A complete enucleation of the lesion, which measured 4 cm, was performed, observing expansion of the external cortex, a close relationship with the included tooth 4.3 and root resorption in adjacent teeth. The diagnosis was confirmed by histopathology, and one year later, the patient showed a favorable evolution, with bone repair and no significant complications. Despite its low incidence, it is crucial to report clinical cases of TOA to improve the understanding of its clinical characteristics, surgical management, and postoperative evolution. In addition, they provide information on the prognosis and possible long-term complications of this odontogenic neoplasm.
Keywords: Adenomatoid Odontogenic Tumor; Unicystic; Follicular Variant; Surgical Enucleation; Root Resorption; Postoperative Follow-Up.
RESUMEN
El tumor odontogénico adenomatoide (TOA) es un tumor benigno raro que representa el 3 % de los tumores odontogénicos. Originado a partir de restos de la lámina dental o epitelio odontogénico, se presenta en tres variantes: folicular (73 %), extracística (24 %) e intraósea (3 %). La variante folicular es la más común y suele estar asociada a la corona de un diente no erupcionado, típicamente un canino maxilar. Afecta mayormente a jóvenes en su segunda década de vida y se presenta como un aumento de volumen indoloro y de crecimiento lento en la región maxilar anterior. En este estudio Se presenta el caso de un paciente de 16 años con un TOA uniquístico variante folicular en la región mandibular derecha. Se realizó una enucleación completa de la lesión, que medía 4 cm, observándose expansión de la cortical externa, relación estrecha con el diente 4.3 incluido y reabsorción radicular en dientes adyacentes. El diagnóstico fue confirmado por histopatología, y un año después, el paciente mostró una evolución favorable, con reparación ósea y sin complicaciones significativas. A pesar de su baja incidencia, es crucial reportar casos clínicos de TOA para mejorar la comprensión de sus características clínicas, manejo quirúrgico y evolución postoperatoria. Además, proporcionan información sobre el pronóstico y las posibles complicaciones a largo plazo de esta neoplasia odontogénica.
Palabras clave: Tumor Odontogénico Adenomatoide; Uniquístico; Variante Folicular; Enucleación Quirúrgica; Reabsorción Radicular; Seguimiento Postoperatorio.
INTRODUCCIÓN
Las lesiones bucales son patologías que se presentan a nivel de la cavidad bucal, que pueden ser benignas o malignas y están relacionadas con su desarrollo embrionario o con sus estructuras, esto se aplica a cualquier daño de los dientes o sus estructuras de soporte.(1)
El tumor odontogénico adenomatoide (TOA) es un tumor epitelial benigno no invasivo y no agresivo, esta lesión afecta principalmente a mujeres de edad joven y suele asentarse en la parte anterior del maxilar superior. Su diagnóstico se puede sospechar clínicamente ante una formación quística, asociada a un diente retenido, pero la confirmación se basa mediante un examen histopatológico. Generalmente se considera que el TOA es un tumor poco común.(2,3,19)
El TOA ha sido debatido ya que se considera como una neoplasia o una hamartoma por facciones, la OMS (2017) lo define como una lesión hamartomatosa benigna y la ha clasificado en la categoría I originaria y compuesta únicamente por epitelio odontogénico, aunque su tendencia a cambios inductivos indica tipo II en categorización.(4,5)
La mayoría de los TOA suelen localizarse entre personas de 10 a 19 años de edad y un 87,2 % de los casos ocurren entre la segunda y tercera década de vida.(6) El TOA representa entre el 3 y 7 % de los tumores odontogénicos, se le conoce como el tumor de dos tercios, ya que dos tercios de los casos ocurre en mujeres jóvenes, dos tercios surgen en el maxilar superior y dos tercios están asociados con un canino no erupcionado.(7, 17)
El tumor suele ser pequeño, progresa lentamente y rara vez se vuelve maligno, suelen estar encapsulado y muestran un comportamiento biológico benigno, lo que facilita la separación de la lesión de las estructuras adyacentes. El tratamiento quirúrgico suele ser conveniente y el método principal es la extirpación quirúrgica o legrado simple o enucleación. Sin embargo, en el caso de tumores grandes, después del tratamiento quirúrgico, es importante asegurar la estabilidad de los maxilares para evitar complicaciones de fracturas secundarias o deformidades de la cara y facilitar la restauración dental.(8,9,10,18)
La sintomatología clínica implica a menudo un dolor leve imperceptible e inflamación ósea de crecimiento lento, al ser indoloro, los pacientes retrasan el tratamiento lo que esto aumenta el riesgo de las complicaciones que incluye la asimetría facial o trastornos funcionales. La variante folicular asociada a un diente retenido es la más común y se diagnostica erróneamente como quiste dentígero, ameloblastoma o tumor odontógeno queratoquístico.(7, 11, 19)
El TOA se clasifica en tres variantes según su ubicación: folicular, extrafolicular y periférica. Radiográficamente, el tipo folicular se presenta como una radiolucidez bien definida, generalmente asociada a la corona de un diente impactado, lo que a menudo lleva a un diagnóstico inicial de quiste dentígero o folicular. El tipo extrafolicular también aparece como una radiolucidez bien definida, pero no está asociado a un diente impactado, lo que lo hace similar a un quiste residual, radicular, globulomaxilar o periodontal lateral. La variante periférica se manifiesta típicamente como una inflamación gingival localizada en la región palatina o lingual en relación con el diente afectado.
En casos inusuales, el TOA se caracteriza radiográficamente por una radiolucidez unilocular bien delimitada, con bordes lisos y, en ocasiones, escleróticos. Histológicamente el TOA muestra múltiples disposiciones de células fusiformes, cubicas y columnares, incluidas estructuras en forma de conductos, esferas de doble capa, rosetas y calcificaciones en varias formas. Se caracteriza por tener lóbulos, trabéculas ahuecadas por cavidades pseudoglandulares cuya luz tiene material eosinófilo amorfo. Las células epiteliales son cilíndricas, dotadas de núcleos polarizados y el estroma es escaso, delgado y fibroso. (2, 14, 16)
PRESENTACIÓN DEL CASO
Paciente masculino de 16 años de edad acudió a la consulta de cirugía maxilofacial por un aumento de volumen en la región mandibular derecha, específicamente en la zona canina, con una evolución de más de 6 meses de rápido crecimiento, produciendo una leve deformidad facial.
Al examen clínico facial y maxilar (figura 1), se apreció piel de color normal, sin alteraciones. En la inspección de la región mandibular derecha canina, se observó un aumento de volumen duro, elástico, no móvil, no doloroso a la palpación y con bordes bien definidos. En el examen intraoral, se evidenció ligera movilidad de las piezas dentarias, apiñamiento en el sector anteroinferior mandibular y ausencia de la pieza 4.3. A nivel del fondo del surco vestibular, se apreció mucosa de color normal y aumento de volumen que producía un borramiento del mismo, no doloroso a la palpación superficial ni profunda.

Figura 1. Examen clínico facial y maxilar
La radiografía panorámica (figura 2) reveló una lesión radiolúcida circunscrita de aproximadamente 4 cm, que abarcaba desde la región de incisivos hasta premolares, con bordes bien definidos y presencia de una imagen radiopaca a nivel del borde mandibular correspondiente a la pieza dentaria 4.3.

Figura 2. Radiografía panorámica
Se procedió a realizar la enucleación quirúrgica (figura 3), observándose un aumento de volumen de 4 cm que produjo expansión de la cortical externa, la cual se encontraba muy delgada y se desprendió fácilmente. Se eliminó la lesión en su totalidad, encontrándose con la membrana quística, la cual fue liberada completamente de la estructura ósea previa aspiración de líquido para facilitar el decolamiento. En la región basal mandibular, se apreció la pieza dentaria 4.3 en íntima relación con la lesión. Al inspeccionar las piezas dentarias, se observó reabsorción del tercio medio radicular en las piezas anteriores y premolares, con presencia de movilidad. Se realizó la enucleación total de la lesión, lavado y curetaje del sitio quirúrgico, quedando un defecto óseo. Se suturó por planos, primero a nivel muscular y luego a nivel mucoso. La lesión fue enviada en su totalidad para estudio histopatológico.

Figura 3. Enucleación quirúrgica
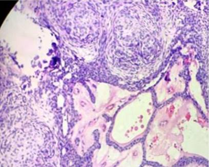
El reporte histopatológico, realizado por la patóloga especialista, describió macroscópicamente una lesión quística con diente retenido de 2,8 x 2 x 2 cm, cápsula íntegra y líquido sanguinolento al corte, con un área sólida exofítica de aproximadamente 1 cm en la pared quística. Microscópicamente, se observó una formación quística revestida de epitelio estratificado plano, con nidos sólidos de células columnares y fusiformes de epitelio odontogénico, presencia de pseudorrosetas y pseudoductos, y material amorfo eosinófilo, en ocasiones en forma de gotas, centrando algunas de las estructuras descritas. La cápsula era fibrosa y gruesa, con presencia de un nido de lesión intramural. Se evidenció cortical ósea libre de lesión. El diagnóstico fue tumor odontogénico adenomatoide uniquístico (figura 4), variante folicular, con exéresis completa.

Figura 4. Diagnóstico de tumor odontogénico adenomatoide uniquístico
En el seguimiento postoperatorio a los 8 días, 1 mes, 6 meses y 1 año, el paciente evolucionó favorablemente. La tomografía (figura 5) realizada al año no mostró presencia de lesión, apreciándose reparación ósea. En el examen clínico facial, no se observó deformidad. En la cavidad oral, las piezas dentarias comprometidas no presentaron movilidad, alteración de color ni dolor. Se apreció una cicatriz lineal en el fondo del surco vestibular de aspecto normal. Los estudios imagenológicos no evidenciaron inflamación de los ligamentos periodontales, observándose únicamente reabsorción radicular en las piezas dentarias afectadas previamente.

Figura 5. Tomografía de seguimiento postoperatorio
DISCUSIÓN
La naturaleza del TOA es controvertida, existiendo debate sobre si se trata de una verdadera neoplasia o un hamartoma. Algunos estudios, basados en su comportamiento clínico, sugieren que tiene características hamartomatosas debido a su pequeño tamaño, mínimo potencial de crecimiento y ausencia de recurrencia en la mayoría de los casos, así como por sus características radiológicas y la ausencia de un verdadero comportamiento neoplásico y transformación maligna.(22)
Sin embargo, cabe señalar que el tamaño generalmente pequeño de los TOA se debe a que la mayoría se detecta tempranamente mediante radiografías dentales periódicas y se extirpa antes de que el tumor alcance un tamaño clínicamente perceptible.(22) De hecho, en el presente caso, el TOA tenía un diámetro de 4 cm, lo cual es poco frecuente y sugiere un potencial de crecimiento mayor al esperado.
Aunque el TOA se considera una neoplasia benigna, su origen y naturaleza exacta siguen siendo motivo de debate. Algunos autores lo consideran una verdadera neoplasia de origen odontogénico, mientras que otros lo clasifican como un hamartoma o malformación del desarrollo. Esta controversia radica en que el TOA exhibe características tanto de lesiones neoplásicas como de malformaciones hamartomatosas.(21,22)
Es importante tener en cuenta que, independientemente de su naturaleza, el TOA tiene un comportamiento clínico benigno y un excelente pronóstico después del tratamiento quirúrgico adecuado, como se evidenció en el presente caso. Sin embargo, se requieren más estudios para comprender mejor su patogénesis y características biológicas.
CONCLUSIONES
El tumor odontogénico adenomatoide (TOA) es una neoplasia benigna poco común que presenta desafíos tanto diagnósticos como terapéuticos. Su variante folicular uniquística se asocia con dientes no erupcionados, desplazamiento dentario y reabsorción radicular, como se observó en el caso descrito. El tratamiento principal es la enucleación quirúrgica conservadora, que permitió la eliminación completa de la lesión y la preservación de los dientes comprometidos en este paciente. Dado su bajo índice de recurrencia, el seguimiento clínico e imagenológico es esencial para monitorear la evolución postoperatoria, siendo importante el diagnóstico oportuno para su adecuado manejo.
REFERENCIAS BIBLIOGRÁFICAS
1. Palacios TM, Palacios GN, Clavijo CG, Romero HC, Feijoo EP. Características de los quistes dentales. Salud, Ciencia y Tecnología. 26 de marzo de 2022; 3:230. https://revista.saludcyt.ar/ojs/index.php/sct/article/view/230
2. Bchir A, Bdioui A, Mestiri S, Ayachi S, Khochtali H, Hmissa S, et al. La tumeur ad´nomatoïde odontogène: à propos de deux observations. Pan Afr Med J. 2021; 38(1). https://www.ajol.info/index.php/pamj/article/view/241240
3. Chaudhary S, Sahoo PK, Kamble A, Shimpi MR, Dash JK, Doiphode M. Adenomatoid odontogenic tumor of the maxilla in a 13-year-old patient: A rare case report with a review of literature. Int J Clin Pediatr Dent. 2021; 14(4): 596–600. https://pubmed.ncbi.nlm.nih.gov/34824522/
4. Nithya S, Saxena S, Kharbanda J. Peripheral adenomatoid odontogenic tumor of mandible - A synchronous presentation or a subtype?! J Oral Maxillofac Pathol. 2021; 25(1): 167. https://pubmed.ncbi.nlm.nih.gov/34349430/
5. Jayasooriya, P. R., Rambukewella, I. K., Tilakaratne, W. M., Mendis, B. R. R. N., & Lombardi, T. Clinico-pathological presentations of cystic and classic adenomatoid odontogenic tumors. Diagnostics (Basel, Switzerland). 2019; 10(1): 3. https://doi.org/10.3390/diagnostics10010003
6. Saini N, Kadian B, Rajain T, Narang S, Namdev R. Extrafollicular adenomatoid odontogenic tumor in the maxillary incisor region disguised as gingival swelling. Contemp Clin Dent. 2020; 11(2): 184. https://pubmed.ncbi.nlm.nih.gov/33110335/
7. Manohar B, Verma N, Mannan N, Bhuvaneshwari S. Adenomatoid odontogenic tumor mimicking a lateral periodontal cyst – A rare case report in the mandible. J Indian Soc Periodontol. 2020; 24(5): 473. http://dx.doi.org/10.4103/jisp.jisp_79_20
8. Duc NQ, Lam VN, Tien NP, Hanh NTM, Dang VDH. A giant adenomatoid odontogenic tumor of the mandible: A case report and literature review. Int J Surg Case Rep. 2022; 96(107295): 107295. http://dx.doi.org/10.1016/j.ijscr.2022.107295
9. Chrcanovic BR, Gomez RS. Adenomatoid odontogenic tumor: An updated analysis of the cases reported in the literature. J Oral Pathol Med. 2019; 48(1): 10–6. https://pubmed.ncbi.nlm.nih.gov/30256456/
10. Taneja S, Jain A. Management of adenomatoid odontogenic tumor in a pediatric patient with preservation of an associated impacted tooth: A combined surgical and orthodontic approach. Front Dent. 2023; 20. https://pubmed.ncbi.nlm.nih.gov/37724250/
11. Chaabani I, Bouguila J, Kammoun R, Chebbi R, Sriha B, Khochteli H, et al. Radiological features of Adenomatoid odontogenic tumor: Report of a maxillary case and a mandibular one. Clin Case Rep. 2022; 10(1). https://pubmed.ncbi.nlm.nih.gov/35106165/
12. Mosca CO, Roman J, Miguelez S, Monteagudo A. Hallazgo de un Tumor Odontogénico Adenomatoide en una paciente adolescente. Rev Odontopediatria Latinoam. 2022; 12(1). https://www.revistaodontopediatria.org/index.php/alop/article/view/267
13. Bansal SP, Shaikh S, Arvandekar AS, Dhanawade SS, Desai RS. Analysis of 55 cases of adenomatoid odontogenic tumor in an Indian population and review of literature. Med Oral Patol Oral Cir Bucal. 2022; 27(1): e85–93. https://pubmed.ncbi.nlm.nih.gov/34874924/
14. Maharjan L, Gurung U, Pradhan B. A large follicular adenomatoid odontogenic tumor occupying the maxillary sinus: A case report. JNMA J Nepal Med Assoc. 2023; 61(259): 267–70. https://pubmed.ncbi.nlm.nih.gov/37203949/
15. Venugopal R, Bavle RM, Muniswamappa S, Makarla S. Clear cell adenomatoid odontogenic tumour and dentigerous cyst: an uncommon hybrid combination – case and review. BMJ Case Rep. 2022; 15(3): e246205. https://pubmed.ncbi.nlm.nih.gov/35236678/
16. Barnts K, Feng JQ, Qin C, Zhang H, Cheng Y-SL. Adenomatoid odontogenic tumor: evidence for a mixed odontogenic tumor. Oral Surg Oral Med Oral Pathol Oral Radiol. 2022; 133(6): 675–83. https://pubmed.ncbi.nlm.nih.gov/35165067/
17. Khan I, Singhal A, Raza U, Premchandani S. Two sides of a coin: A report of two contrasting cases of adenomatoid odontogenic tumor with unusual presentations. Natl J Maxillofac Surg. 2022; 13(3): 475. https://pubmed.ncbi.nlm.nih.gov/36683944/
18. Sadasivan A, Ramesh R, Kurien NM. Peripheral adenomatoid odontogenic tumor — A rare cause of gingival enlargement: A case report with CBCT findings. Clin Cosmet Investig Dent. 2020; 12: 297–304. https://pubmed.ncbi.nlm.nih.gov/32801923/
19. Siriwardena BSMS, Udagama MNGP, Tennakoon TMPB, Athukorala DAADW, Jayasooriya PR, Tilakaratne WM. Clinical and demographic characteristics of adenomatoid odontogenic tumors: analysis of 116 new cases from a single center. Braz J Otorhinolaryngol. 2022; 88(3): 309–15. https://pubmed.ncbi.nlm.nih.gov/32782125/
20. Latha HA, Prakash AR, Kanth MR, Reddy AVS, Sreenath G, Vidya KS. Expression of anti - Apoptotic survivin in odontogenic keratocyst, adenomatoid odontogenic tumor and ameloblastoma. J Oral Maxillofac Pathol. 2023; 27(3). https://pubmed.ncbi.nlm.nih.gov/38033952/
21. Mashhadiabbas F, Bakhshaei P, Gholami TS, Safarpour R. Extrafollicular Cystic Adenomatoid Odontogenic Tumor Misdiagnosed as Glandular Odontogenic Cyst. J Dent (Shiraz). 2022; 23(2 Suppl). https://pubmed.ncbi.nlm.nih.gov/36588964/
22. Jara R, Martínez P, Rees V, Martínez B, González-Providell S. Adenomatoid odontogenic tumor associated to reactive fibro-osseous lesion: A case report. J Clin Exp Dent. 2023; 15(8): e700–5. https://pubmed.ncbi.nlm.nih.gov/37674601/
FINANCIACIÓN
Los autores no recibieron financiación para el desarrollo de la presente investigación.
CONFLICTO DE INTERESES
Los autores declaran que no existe conflicto de intereses.
CONTRIBUCIÓN DE AUTORÍA
Conceptualización: Francisco Xavier Vera Solorzano, Erick Sebastián Guillén Santana, Thainah Bruna Santos Zambrano.
Análisis formal: Alexandra Francisco Xavier Vera Solorzano, Erick Sebastián Guillén Santana, Thainah Bruna Santos Zambrano.
Investigación: Francisco Xavier Vera Solorzano, Erick Sebastián Guillén Santana, Thainah Bruna Santos Zambrano.
Metodología: Alexandra Francisco Xavier Vera Solorzano, Erick Sebastián Guillén Santana, Thainah Bruna Santos Zambrano.
Redacción – borrador original: Francisco Xavier Vera Solorzano, Erick Sebastián Guillén Santana, Thainah Bruna Santos Zambrano.
Redacción – revisión y edición: Francisco Xavier Vera Solorzano, Erick Sebastián Guillén Santana, Thainah Bruna Santos Zambrano.