doi: 10.56294/saludcyt2024.551
ORIGINAL
Effectiveness of the dental microabrasion technique as a minimally invasive clinical approach for the aesthetic treatment of dental fluorosis. Case report
Efectividad de la técnica de microabrasión dental como abordaje clínico mínimamente invasivo para el tratamiento estético de la fluorosis dental. Reporte de caso
Sharon Melissa Mendoza Navarrete1
*, Alda Noelia Alarcón
Barcia1
*
1Universidad San Gregorio de Portoviejo, Manabí, Ecuador.
Citar como: Mendoza Navarrete SM, Alarcón Barcia AN. Effectiveness of the dental microabrasion technique as a minimally invasive clinical approach for the aesthetic treatment of dental fluorosis. Case report. Salud, Ciencia y Tecnología. 2024; 4:.551. https://doi.org/10.56294/saludcyt2024.551
Enviado: 17-01-2024 Revisado: 13-05-2024 Aceptado: 05-10-2024 Publicado: 06-10-2024
Editor: Dr.
William Castillo-González ![]()
Autor para la correspondencia: Sharon Melissa Mendoza Navarrete *
ABSTRACT
Dental fluorosis represents one of the most commonly observed enamel defects in the Ecuadorian population; certain provinces, especially those located in the central area of the inter-Andean region of Ecuador, are highly affected. The cases of two female patients are presented, aged 25 and 29 respectively, treated in a private dental clinic in the Francisco Pacheco Parish, Portoviejo canton during the period May 2023 – September 2023, with clinical diagnosis and photographic of dental fluorosis in a mild degree according to the Dean indexFor which the dental microabrasion technique was performed as a minimally invasive clinical approach, obtaining satisfactory results that eliminated the stains present in the tooth enamel. Conservative treatment options should be the first choice when defining the actions to follow, always prioritizing the patient’s well-being. It is recommended to consider the possibility of combining them when circumstances justify it. Additional follow-ups are necessary to verify the effectiveness of these treatments. Treatment with dental microabrasion is demonstrated as an effective minimally invasive technique to treat mild dental fluorosis.
Keywords: Esthetics Dental Fluorosis; Dental Fluorosis; Enamel Microabrasion.
RESUMEN
La fluorosis dental representa uno de los defectos del esmalte más comúnmente observado en la población ecuatoriana, ciertas provincias especialmente aquellas localizadas en la zona central de la región interandina del Ecuador se muestran altamente afectadas. Se presentan los casos de dos pacientes de sexo femenino, con 25 y 29 años de edad respectivamente atendidos en una clínica dental privada en la Parroquia Francisco Pacheco, cantón Portoviejo durante el periodo mayo 2023 – septiembre 2023, con diagnóstico clínico y fotográfico de fluorosis dental en grado leve según el índice de DeanPara lo cual se realizó la técnica de microabrasión dental como abordaje clínico mínimamente invasivo, obteniendo resultados satisfactorios que eliminaron las manchas presentes en el esmalte dental. Las opciones de tratamiento conservador deben ser la primera elección al definir las acciones a seguir, siempre priorizando el bienestar del paciente. Se recomienda considerar la posibilidad de combinarlos cuando las circunstancias lo justifiquen. Es necesario realizar seguimientos adicionales para verificar la efectividad de estos tratamientos. Mediante el tratamiento con microabrasión dental se demuestra como una técnica mínimamente invasiva eficaz para tratar la fluorosis dental en grado leve.
Palabras clave: Estética Dental; Fluorosis Dental; Microabrasión del Esmalte.
INTRODUCCIÓN
La fluorosis dental es uno de los defectos del esmalte más comunes en la población ecuatoriana.(1) Varias provincias, especialmente en la zona central de la región interandina, están altamente afectadas por esta condición.(2) Su presencia provoca alteraciones estéticas y funcionales,(3) impactando negativamente la calidad de vida de quienes la padecen y afectando su interacción sociocultural.(4)
Las repercusiones ocasionadas por problemas estéticos a nivel dental, desencadenan inseguridad personalidad retraída y poco social e insatisfacción ante su imagen,(5) lo que desencadena que la población joven principalmente, busque soluciones; en ese contexto la microabrasión del esmalte, se presenta como una alternativa mínimamente invasiva idónea al permitir con su ejecución en pocos minutos corregir el aspecto estético, conservando las estructuras dentales sanas, con un pronóstico altamente favorable.(6)
La Odontología Estética tiene como finalidad crear y devolver sonrisas armónicas, trascendiendo el plano odontológico a un aspecto que, aunque subjetivo es de vital importancia, como es la autoaceptación y la calidad de vida,(7) generando con su ejecución sensación de bienestar y confort al elevar la autoestima del paciente.(8)
La fluorosis dental se origina en el proceso de formación del esmalte, donde la ingesta excesiva de fluoruro en el periodo de formación dental, provoca alteraciones en el esmalte dental, que van desde líneas blancas delgadas hasta defectos ampliamente marcados,(9) en dependencia de la cantidad de flúor absorbido.(10) Debido a que existe una gran variedad de fuentes de fluoruro disponibles y con capacidad de producir fluorosis dental, la prevalencia de la patología se ha incrementado notablemente.(11) Es evidente que el mineral presente en agua de consumo diario o elementos de higiene ha actuado como un determinante factor controlador de la caries dental,(12) la ausencia de control en su ingesta y presencia en estos elementos ha desencadenado una elevada prevalencia en la población menor de 30 años, quienes demuestran un mayor interés en restablecer su aspecto estético.(13)
Si bien de forma tradicional ha sido la presencia del fluoruro en agua de consumo el medio relacionado estrechamente con la fluorosis dental,(14) la existencia de un periodo crítico dental de mayor susceptibilidad es indudable(5) despertando interés sobre todo en la presencia de los distintos grados de afectación y los tratamientos ofrecidos por la odontología mínimamente invasiva para solucionarlos.(15) Los tratamientos protésicos tradicionales ofrecidos como alternativas son actualmente cuestionados y muchas veces dejados de lado, por existir tratamientos mínimamente invasivos de altos resultados, como la microabrasión, el clareamiento y la infiltración de resina, considerados como primera elección para tratamiento de la fluorosis dental en grados leves.(4)
La máxima preservación de la estructura dental sana se constituye la base de la filosofía de mínima intervención, donde la promoción de la salud y preservación de tejidos se presenta como imprescindible.(9) El manejo del color dental, determinado por factores exógenos y endógenos exigen un manejo integral, ejecutado de manera conservadora y con una visión futurista de mantenimiento de la estructura dental como principal premisa.(16)
El diagnóstico de la fluorosis dental requiere un análisis clínico minucioso utilizando índices confiables que determinen el grado de severidad. En este contexto, el índice de Dean y el de Thylstrup y Fejerskov son los más adecuados debido a su alta sensibilidad y reproducibilidad.(14) El Índice de Dean, desarrollado inicialmente para diagnosticar la severidad de la fluorosis, contaba con cinco categorías según el grado de alteración del esmalte.(17) Posteriormente, se modificó a seis categorías, cada una con una identificación específica de la superficie.(18) Las modificaciones en las estructuras adamantinas resultantes de la fluorosis han llevado a procedimientos adhesivos restauradores más complicados, que requieren acciones previas en la superficie dental.(19)
La microabrasión constituye una técnica desarrollada en la década de los 80, que consiste en una modificación en el esmalte mediante la aplicación de un compuesto abrasivo, que permite eliminar manchas blancas, o parduscas superficiales usando ácido clorhídrico concentrado, conservar tejido esmalte sano,(20) a través de una acción abrasiva, químico-mecánica que mejora la superficie adamantina.(21) Estudios demuestran una pérdida de 20 a 200 μm, de esmalte superficial, en estrecha relación a la concentración de ácido empleado y la duración de la aplicación.(22) La técnica, ejecutada bajo protocolos establecidos, produce un sutil desgaste de la superficie del esmalte, con la eliminación de las irregularidades y defectos superficiales, gracias al agente abrasivo presente en el producto combinado con agentes ácidos.(6)
Esta limitada capacidad de desgaste, cercana a 10 µm por aplicación, convierte a la microabrasión, en una estrategia adecuada ante casos de fluorosis,(16) en grados leves y moderados, donde la necesidad de camuflar el color o presencia de decoloraciones blanquecinas del esmalte es inminente.(23) Observándose incluso que su acción en fluorosis severa, ofrece mejoras en el proceso restaurador de la superficie afectada,(5) sin embargo, de ello es evidente que el éxito del tratamiento se encuentra en dependencia de la profundidad del defecto y la existencia de otras alteraciones combinadas.(18) Frente a ello este estudio pretende describir el tratamiento con micro abrasión dental como técnica mínimamente invasiva para el tratamiento de la fluorosis dental en grados leves, en pacientes adultos jóvenes de una clínica dental privada en el cantón Portoviejo, Manabí, Ecuador.
PRESENTACIÓN DEL CASO
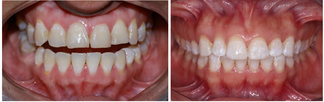
El estudio involucró la participación de dos pacientes adultos jóvenes, sin patología sistémica aparente, con sospecha de diagnóstico de fluorosis dental, a los cuales tras examen clínico se determinó la presencia de fluorosis dental en las superficies vestibulares de los dientes permanentes superiores anteriores (figura 1), en un grado leve según el Índice de Dean basado en lo expuesto por Azpeitia-Valadez,(19) los pacientes fueron invitados a participar del estudio, explicando minuciosamente las implicaciones del estudio, tras lo cual mediante firma de consentimiento informado aceptaron formar parte del estudio.

Figura 1. Diagnóstico inicial del paciente mediante Escala de Dean: fluorosis dental grado leve
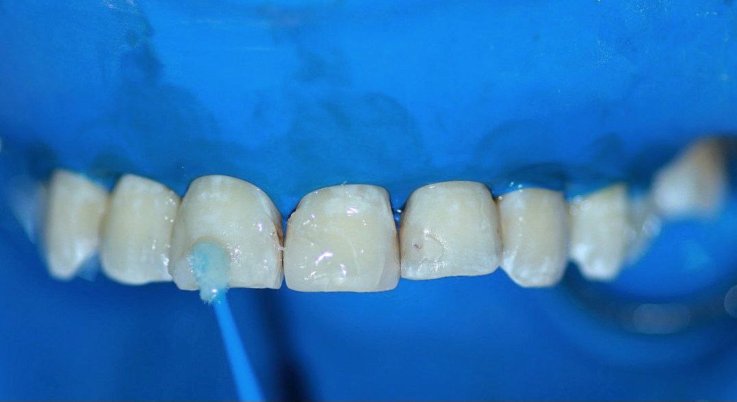
Tras ejecución del aislamiento absoluto del campo operatorio y profilaxis con piedra pómez el material de microabrasión Opalustre fue colocado sobre el esmalte de las caras vestibulares de los dientes anteriores, tras espera de un minuto aguardando se produzca la erosión, a través de una presión suave con puntas de goma suaves (OpalCups) mediante contraángulo durante un minuto el material fue distribuido uniformemente sobre las superficies (figura 2).

Figura 2. Colocación el material de microabrasión Opalustre sobre el esmalte en las caras vestibulares de los dientes anterosuperiores
Se realizaron tres aplicaciones a intervalos de 60 segundos, eliminando el producto con una torunda de algodón entre cada una de ellas. Tras lo cual fue colocada una disolución saturada de bicarbonato de sodio con agua para neutralizar el ácido (figura 3).

Figura 3. Tras un periodo de espera de un minuto, se retiró el producto con una torunda de algodón y se realizó enjuague con agua
Al concluir el proceso, se colocó un desensibilizante dental (Ultraez) sobre las superficies tratadas previamente,(24) realizándose una evaluación a las 24 h seguidas de la aplicación de fluoruro neutro 1,1% por 4 minutos aproximadamente (figura 4).

Figura 4. Después de la evaluación final, se aplicó tópicamente fluoruro de sodio neutro 1,1%, por aproximadamente 4 minutos
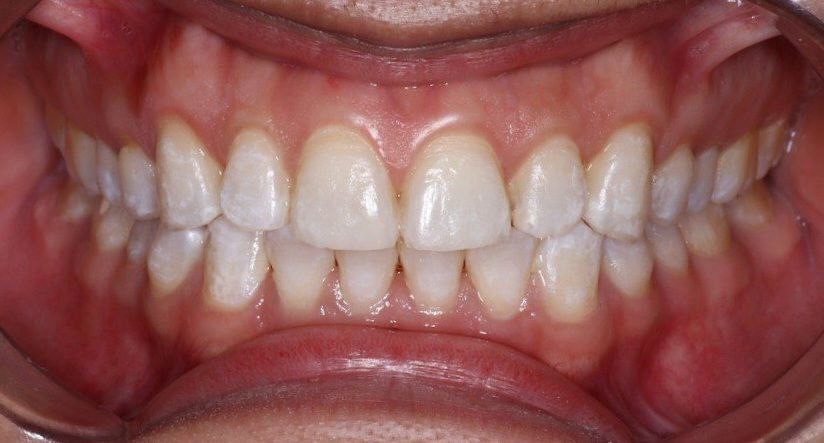
Siete días después, una nueva evaluación clínica y fotográfica fue realizada observando evidente mejora en el aspecto estético del esmalte; disminución de las manchas blanco opacas y un aumento notable en la autoestima del paciente (figura 5). El paciente recibió instrucciones de acudir a controles a los 3 y 6 meses posteriores al tratamiento, observando mantenimiento de los resultados obtenidos.

Figura 5. Control a los 7 días
DISCUSIÓN
La fluorosis dental es una patología prevalente en el Ecuador,(1) su presencia desencadena que pacientes jóvenes procuren una solución terapéutica, la importancia en determinar la etiología y realizar un correcto diagnóstico constituyen la base fundamental de los tratamientos a ejecutarse.(25) La apariencia anormal, en color y estructura, afecta de forma negativa la autopercepción, confianza, autoestima y las relaciones psicosociales de quien padece de la enfermedad, frente a ello técnicas como la microabrasión, se muestran como un tratamiento conservador que remueve una mínima cantidad de esmalte modificando sus propiedades ópticas,(26) logrando resultados estéticos favorables, convirtiéndose en una alternativa conservadora, eficaz, segura y de resultados inmediatos.(27)
Una limitación importante del estudio es la ausencia de evaluación por métodos objetivos, la subjetividad que la apreciación clínica o fotográfica desencadena, por lo que nuevos estudios que consideren estos elementos se hace imprescindible, la micro abrasión cuenta con innumerables ventajas; sin embargo de ello, su protocolo exige un minucioso cuidado, que de no ser respetado, provoca sensibilidad posoperatoria,(28) lo que hace importante cuidar las maniobras de la técnica, la profundidad de la decoloración o pigmentación constituyen un elemento clave a ser considerado.(29)
No existe un tratamiento específico para la fluorosis dental, debido a la variabilidad de los defectos presentes en el esmalte, su profundidad, tamaño y color de las manchas, las acciones a ser ejecutadas permitieron corregir estas alteraciones, mejorando el aspecto clínico superficial y el aspecto psicológico.(29) La microabrasión dental puede interrumpirse en cualquier momento para permitir la reevaluación de la superficie del esmalte, durante la ejecución del tratamiento, lo que indudablemente constituye una ventaja,(22) sin embargo, la evaluación clara de la profundidad del defecto previo a la ejecución del procedimiento, aseguran la eficacia y longevidad de los resultados.(30)
En Ecuador existen un número reducido de estudios que evidencien los tratamientos a ser ejecutados sobre dientes afectados con fluorosis dental, los estudios realizados en el país que se limitan a prevalencias,(2) y demuestran la gran cantidad de pacientes afectados con fluorosis en grados leves, por lo que modificaciones en los pensum de estudio de las carreras de odontología del país, requieren ser ejecutados para poder educar al futuro profesional sobre las acciones a realizar. Sobre todo, para interceptar y detener complicaciones como la presencia de lesiones cariosas en las superficies.(31) Si bien patologías más graves no fueron detectadas la rugosidad de la superficie del esmalte, típico de una superficie afectada por fluorosis, es un lugar adecuado para acumulo de placa dental.(32)
Los tratamientos conservadores deben ser la primera opción de elección cuando se trata de definir las acciones a seguir, buscando siempre el bienestar del paciente,(33) planteando la posibilidad de combinarlos cuando la circunstancia lo amerite,(3,34) más seguimientos requieren ser ejecutados para verificar la efectividad de estos tratamientos.
CONCLUSIONES
La microabrasión dental es un método eficaz y seguro para mejorar la estética del esmalte en casos de fluorosis dental leve, logrando una reducción de las manchas blancas opacas y un aumento en la autoestima de los pacientes. A pesar de la subjetividad en la evaluación, los resultados respaldan la microabrasión como una opción conservadora y efectiva, aunque requiere una ejecución cuidadosa. Se requieren evaluaciones objetivas y una formación odontológica más completa en Ecuador, dado el alto índice de fluorosis, recomendando este tratamiento como primera opción, complementado con otros procedimientos según sea necesario, y con seguimientos a largo plazo para asegurar la estabilidad de los resultados.
REFERENCIAS BIBLIOGRÁFICAS
1. Armas-Vega ADC, González-Martínez FD, Rivera-Martínez MS, Mayorga-Solórzano MF, Banderas-Benítez VE, Guevara-Cabrera OF. Factors associated with dental fluorosis in three zones of Ecuador. J Clin Exp Dent. 2019 [cited 2024 Jul 1];11(1) e42–e48. https://doi.org/10.4317/jced.55124
2. Vélez-León EM, Albaladejo-Martínez A, Ortíz-Ortega P, Cuenca-León K, Armas-Vega A, Melo M. Distribution of Dental Fluorosis in the Southern Zone of Ecuador: An Epidemiological Study. Dent J. 2023[cited 2024 Jul 1]; 11(3):71. https://doi.org/10.3390/dj11030071
3. Sundfeld D, Pavani CC, Pini N, Machado LS, Schott TC, Sundfeld RH. Enamel microabrasion and dental bleaching on teeth presenting severe-pitted enamel fluorosis: A case report. Oper Dent. 2019[cited 2024 Jul 1]; 44(6):566-73. https://doi.org/10.2341/18-116-T
4. Vázquez S, Morán Sánchez C, Ramírez H, Alonso C. Tratamiento mínimamente invasivo en un paciente pediátrico con fluorosis dental mediante el uso de microabrasión: reporte de un caso. Odontol Pediátr (Lima). 2020[cited 2024 Jul 1]; 28(2):103-8. Disponible en: https://www.odontologiapediatrica.com/wp-content/uploads/2020/09/103-108%20CASO%20CLINICO.pdf
5. Ardu S, Stavridakis M, Krejci I. Un tratamiento mínimamente invasivo de la fluorosis dental severa. Quintessence Int. 2007[cited 2024 Jul 1]; 38(6):455-8. Disponible en: https://archiveouverte.unige.ch/unige:84484
6. Gençer M, Kirzioğlu Z. A comparison of the effectiveness of resin infiltration and microabrasion treatments applied to developmental enamel defects in color masking. Dent Mater J. 2019[cited 2024 Jul 1]; 38(2):295-302. https://doi.org/10.4012/dmj.2018-074
7. Martínez Espinosa D, Pérez Morales YJ. La odontología estética como arte. Acta Méd Cent. 2014[cited 2024 Jul 1]; 8(14). Disponible en: https://www.medigraphic.com/pdfs/medicadelcentro/mec-2014/mec144u.pdf
8. Santos BC, Fernandes DC. Odontologia estética e qualidade de vida: revisão integrativa. Cad Grad Ciênc Biol Saúde UNIT-ALAGOAS. 2016 [cited 2024 Jul 1]; 3(3):91. Disponible en: https://periodicos.set.edu.br/fitsbiosaude/article/view/3328
9. Tumenas I, Pascottos R, Saade JL, Bassani M. Odontología mínimamente invasiva. Rev Assoc Paul Cir Dent. 2014[cited 2024 Jul 1]; 68(4):283-95. Disponible en: http://revodonto.bvsalud.org/scielo.php?pid=S0004-52762014000400002&script=sci_arttext&tlng=pt
10. Wang Q, Meng Q, Meng J. Minimally invasive esthetic management of dental fluorosis: a case report. J Int Med Res. 2020[cited 2024 Jul 1]; 48(10). https://doi.org/10.1177/0300060520967538
11. Beltrán-Valladares PR, Cocom-Tun H, Casanova-Rosado JF, Vallejos-Sánchez AA, Medina-Solís CE, Gerardo M. Prevalencia de fluorosis dental y fuentes adicionales de exposición a fluoruro como factores de riesgo a fluorosis dental en escolares de Campeche, México. Rev Invest Clin. 2005[cited 2024 Jul 1]; 57(4):532-9. Disponible en: https://www.scielo.org.mx/pdf/ric/v57n4/v57n4a6.pdf
12. Di Giovanni T, Eliades T, Papageorgiou SN. Interventions for dental fluorosis: A systematic review. J Esthet Restor Dent. 2018[cited 2024 Jul 1]; 30(6):502-8. https://doi.org/10.1111/jerd.12408
13. Browne D, Whelton H, O’Mullane D, Tavener J, Flannery E. The aesthetic impact of enamel fluorosis on Irish adolescents. Community Dent Oral Epidemiol. 2011 [cited 2024 Jul 1]; 39(2):127-36. https://doi.org/10.1111/j.1600-0528.2010.00577.x
14. Bolaños V, Acuña G, González Umaña L. Fluorosis dental: tratamiento. Odovtos Int J Dent Sci. 2008[cited 2024 Jul 1]; (10):10-6. Disponible en: https://www.redalyc.org/articulo.oa?id=499551913003
15. Covaleda Rodriguez J, Torres Peñuela A, Sánchez Esparza M, Pineda R, Silva Borrero V, Parra Galvis D, et al. Abordaje clínico mínimamente invasivo de fluorosis dental en estadios de TF1 a TF5. Revisión sistemática. Av Odontoestomatol. 2021[cited 2024 Jul 1]; 37(2):87-93. https://dx.doi.org/10.4321/s0213-12852021000200005
16. Proaño-Yela PA, Monard-Proaño MA, Zambrano-Vélez DE. Tratamiento microabrasivo del esmalte dental. Dominio Cienc. 2017[cited 2024 Jul 1]; 3(2):328-47. Disponible en: https://dominiodelasciencias.com/ojs/index.php/es/article/view/426
17. Nevárez-Rascón M, Molina-Frechero N, Adame E, Almeida E, Soto-Barreras U, Gaona E, et al. Efectividad de una técnica de microabrasión usando HCL al 16% con aplicación manual en dientes fluoróticos: una serie de estudios. Rev Mundial Casos Clín. 2020[cited 2024 Jul 1]; 8(4):743-56. https://doi.org/10.12998/wjcc.v8.i4.743
18. Azpeitia-Valadez ML, Rodríguez-Frausto M, Sánchez-Hernández MÁ. Prevalencia de fluorosis dental en escolares de 6 a 15 años de edad. Rev Med Inst Mex Seguro Soc. 2008;46(1):67-72. Disponible en: https://www.redalyc.org/pdf/4577/457745519011.pdf
19. Akpata E. Manejo terapéutico de la fluorosis dental: una revisión crítica de la literatura. Rev Saudita Cienc Orales. 2014[cited 2024 Jul 1]; 1(1). https://doi.org/10.4103/WKMP-0056.124179.
20. Garg I, Kumar A, Kumar A. Comparative evaluation of esthetic improvement of resin infiltration (RI), in-office bleaching (B), enamel microabrasion (M) and resin infiltration with double application of infiltrant (2RI) on non-pitted fluorosis stains: A randomized six-month interventional study. Int J Clin Pediatr Dent. 2022[cited 2024 Jul 1]; 15(1):20-34. https://doi.org/10.5005/jp-journals-10005-2140
21. Azzahim L, Chala S, Abdallaoui F. La micro-abrasion amélaire associée à l’éclaircissement externe: intérêt dans la prise en charge de la fluorose [Role of enamel microabrasion associated with external bleaching in the management of patients with dental fluorosis]. Pan Afr Med J. 2019[cited 2024 Jul 1]; 34:72. https://doi.org/10.11604/pamj.2019.34.72.20401
22. Nevárez-Rascón M, Villegas-Ham J, Molina-Frechero N, Castañeda-Castaneira E, Bologna-Molina R, Nevárez-Rascón A. Tratamiento para manchas por fluorosis dental por medio de micro abrasión sin instrumentos rotatorios. CES Odontol. 2010[cited 2024 Jul 1]; 23(2):61-6. Disponible en: https://revistas.ces.edu.co/index.php/odontologia/article/view/1187/860
23. Bourouni S, Dritsas K, Kloukos D, Wierichs RJ. Efficacy of resin infiltration to mask post-orthodontic or non-post-orthodontic white spot lesions or fluorosis - a systematic review and meta-analysis. Clin Oral Investig. 2021[cited 2024 Jul 1]; 25(8):4711-9. https://doi.org/10.1007/s00784-021-03931-7
24. Natera G, Alfredo E, Peraza Urrutia I, Uzcátegui Giannattasio GM. Microabración del esmalte: técnica para la remoción de manchas dentales. Acta Odontol Venez. 2005[cited 2024 Jul 1]; 43(3):318-22. Disponible en: http://ve.scielo.org/scielo.php?script=sci_arttext&pid=S0001-63652005000300019&lng=es&tlng=es.
25. Pecarevic D, Gómez C, Rosales-Lomboy F, Guevara V. Manejo estético de la fluorosis dental: microabrasión, infiltración de resina y clareamiento externo. Int J Interdiscip Dent. 2022[cited 2024 Jul 1]; 15(2):157-60. https://dx.doi.org/10.4067/S2452-55882022000200157
26. Vinueza S, Jaramillo N, Pinto J. Tratamientos mínimamente invasivos para casos de fluorosis dental en Odontopediatría: una revisión sistemática. OdontoInvestigación. 2022[cited 2024 Jul 1]; 8(2). https://doi.org/10.18272/oi.v8i2.2688
27. Echague Garay BL, Fretes Pérez SM, Lezcano OM, Arce Ortiz TA. Microabrasión de esmalte en paciente pediátrico con fluorosis: relato de caso. Sci Oralis Salutem. 2022[cited 2024 Jul 1]; 3(2):79-86. Disponible en: https://revistas.unc.edu.py/index.php/founc/article/view/101/79
28. De Barrio M. Microabrasión del esmalte: indicaciones, limitaciones y alcance clínico. Rev Soc Odontol Plata. 2021[cited 2024 Jul 1]; 31(61):15-20. Disponible en: https://sedici.unlp.edu.ar/bitstream/handle/10915/155634/Documento_completo.pdf-PDFA.pdf?sequence=1&isAllowed=y
29. Natera A, Da Silva A, Fernández M, Montilla M, Moukel J, Rodríguez L, Vivas S. Tratamiento de fluorosis con microabrasión del esmalte: reporte de un caso clínico índice TF5. Odous Científica. 2015[cited 2024 Jul 1]; 16(2):51-7. Disponible en: http://servicio.bc.uc.edu.ve/odontologia/revista/vol16-n2/art05.pdf
30. Pini NP, Sundfeld-Neto D, Aguiar FH, Sundfeld RH, Martins LR, Lovadino JR, Lima DA. Microabrasión del esmalte: una descripción general de las consideraciones clínicas y científicas. World J Clin Cases. 2015[cited 2024 Jul 1]; 3(1):34. Disponible en: https://www.ncbi.nlm.nih.gov/pmc/articles/PMC4295217/
31. García-Pérez A, Pérez-Pérez NG, Flores-Rojas AI, Barrera-Ortega CC, González-Aragón Pineda AE, Villanueva Gutiérrez T. Marginalization and fluorosis: its relationship with dental caries in rural children in Mexico: a cross-sectional study. Community Dent Health. 2020[cited 2024 Jul 1]; 37(3):216-22. https://doi.org/10.1922/CDH_00017Perez07
32. Constante Cruz AP, Pérez Rosero ER, Rodríguez Villarreal JP, Cabrera Arias MA, Armas Vega AC. Impacto de la fluorosis dental en la calidad de vida de adolescentes ecuatorianos de entre 11 a 14 años. Odontol Vital. 2020[cited 2024 Jul 1]; (32):21-8. Disponible en: http://www.scielo.sa.cr/scielo.php?script=sci_arttext&pid=S165907752020000100021&lng=en&tlng=es
33. Molina-Frechero N, Nevarez-Rascón M, Nevarez-Rascón A, González-González R, Irigoyen-Camacho ME, Sánchez-Pérez L, et al. Impact of dental fluorosis, socioeconomic status and self-perception in adolescents exposed to a high level of fluoride in water. Int J Environ Res Public Health. 2017[cited 2024 Jul 1]; 14(1):73. https://doi.org/10.3390/ijerph14010073
34. Hosney S, Ercoli C, Dilbone D, Carranza MG, Chochlidakis K. Esthetic and functional rehabilitation of an adolescent patient with severe dental fluorosis: a clinical report. J Prosthodont. 2022[cited 2024 Jul 1]; 31(2):96-101. https://doi.org/10.1111/jopr.13453
FINANCIACIÓN
Los autores no recibieron financiación para el desarrollo de la presente investigación.
CONFLICTO DE INTERESES
Los autores declaran que no existe conflicto de intereses.
CONTRIBUCIÓN DE AUTORÍA
Conceptualización: Sharon Melissa Mendoza Navarrete, Alda Noelia Alarcón Barcia.
Análisis formal: Sharon Melissa Mendoza Navarrete, Alda Noelia Alarcón Barcia.
Investigación: Sharon Melissa Mendoza Navarrete, Alda Noelia Alarcón Barcia.
Metodología: Sharon Melissa Mendoza Navarrete, Alda Noelia Alarcón Barcia.
Recursos: Sharon Melissa Mendoza Navarrete, Alda Noelia Alarcón Barcia.
Software: Sharon Melissa Mendoza Navarrete, Alda Noelia Alarcón Barcia.
Redacción – borrador original: Sharon Melissa Mendoza Navarrete, Alda Noelia Alarcón Barcia.
Redacción – revisión y edición: Sharon Melissa Mendoza Navarrete, Alda Noelia Alarcón Barcia.