REPORTE DE CASO
Diagnóstico y manejo de tromboembolismo pulmonar agudo: informe de caso
Diagnosis and management of acute pulmonary thromboembolism: case report
Edison
Bolívar Ortiz Freire1
*,
Christian Alexander Lema Guaraca1
*, Pedro Manolo García Sarmiento1
*,
Germania Elizabeth Ortiz Freire2
*,
Mateo Sebastián García Sarmiento3
*,
Rubén Argenis Maldonado Cabrera4
*
1Red complementaria de Salud. Médico Residente Asistencial. Clínica de Especialidades España. Cuenca, Ecuador.
2Ministerio de Salud Pública. Interna rotativa. Hospital Moreno Vazquez. Gualaceo, Ecuador.
3Universidad de Cuenca. Facultad de Medicina. Cuenca, Ecuador.
4Servicio de Cardiología e Intensivismo. Médico tratante. Clínica de Especialidades España. Cuenca, Ecuador.
Citar como: Ortiz Freire EB, Lema Guaraca CA, García Sarmiento PM, Ortiz Freire GE, García Sarmiento MS, Maldonado Cabrera RA. Diagnóstico y manejo de tromboembolismo pulmonar agudo: informe de caso. Salud, Ciencia y Tecnología. 2023;3:389. https://doi.org/10.56294/saludcyt2023389
Enviado: 10-04-2023 Revisado: 19-04-2023 Aceptado: 31-05-2023 Publicado: 01-06-2023
Editor: Dr.
William Castillo González
RESUMEN
Introducción: la Tromboembolia Pulmonar (TEP) constituye una causa importante de hospitalización, morbilidad y mortalidad. Al momento actual representa una de las enfermedades cardiovasculares más frecuentes.
Caso clínico: paciente femenina de 73 años con diversas comorbilidades, que ingresa por un cuadro de dificultad respiratoria severa e inestabilidad hemodinámica, se diagnóstica de neumonía, hipertensión pulmonar y además en una Tomografía Axial Computarizada se evidencia masa tumoral con hemorragia alveolar.
Evolución: durante la estancia hospitalaria, la paciente se mantiene con necesidades altas de oxígeno e inestabilidad hemodinámica a pesar de maniobras de soporte. La hemorragia alveolar que presenta, condiciona el tratamiento trombo profiláctico. El estudio de imagen indica masa tumoral asociado a hemorragia alveolar y la probabilidad muy elevada de desarrollar una trombosis venosa profunda (TVP) y posterior tromboembolia pulmonar (TEP). Motivo por el cual se realiza eco FAST el cual evidencia trombosis venosa profunda en vena femoral común derecha, oclusión total de arteria femoral superficial con flujo conservado en arteria femoral profunda. Pulsos distales ausentes con flujo arterial en tibial anterior monofásico con diástole alta IR: 0,6, e índice Tobillo brazo 0,5, posterior ecocardiograma con dilatación de cavidades derecha, PSAP de 54 mmHg y signo de Mc Connel. Paciente empeora su cuadro con una tromboembolia pulmonar masiva que resulta en fallecimiento.
Conclusiones: la embolia pulmonar es una patología que se presenta 1 por cada 1000 casos. El individualizar cada caso puede ser decisivo para salvaguardar la vida de un paciente.
Palabras clave: Embolia Pulmonar; Hemorragia Alveolar; Insuficiencia Respiratoria; Estado Hiperglicémico Hiperosmolar.
ABSTRACT
Background: Pulmonary Thromboembolism (PTE) is an important cause of hospitalization, morbidity and mortality. At the present time it represents one of the most frequent cardiovascular diseases.
Case report: a 73-year-old female patient with various comorbidities, who was admitted due to severe respiratory distress and hemodynamic instability, was diagnosed with pneumonia, pulmonary hypertension, and a Computed Axial Tomography revealed a tumor mass with alveolar hemorrhage.
Evolution: during the hospital stay, the patient maintained high oxygen needs and hemodynamic instability despite support maneuvers. The alveolar hemorrhage that she presents determines the prophylactic thrombus treatment. The imaging study indicates a tumor mass associated with alveolar hemorrhage and a very high probability of developing deep vein thrombosis (DVT) and subsequent pulmonary thromboembolism (PTE). Reason for which FAST echo was performed, which evidenced deep vein thrombosis in the right common femoral vein, total occlusion of the superficial femoral artery with preserved flow in the deep femoral artery. Absent distal pulses with arterial flow in monophasic anterior tibial with high diastole IR: 0,6, and Ankle arm index 0,5, posterior echocardiogram with dilation of the right cavities, PSAP of 54 mmHg and McConnel’s sign. Patient intervenes with a massive pulmonary thromboembolism that results in death.
Conclusions: pulmonary embolism is a pathology that occurs in 1 per 1000 cases. Individualizing each case can be decisive to safeguard the life of a patient.
Keywords: Pulmonary Embolism; Alveolar Hemorrhage; Respiratory Insufficiency; Hyperosmolar Hiperglycemic State.
INTRODUCCIÓN
El tromboembolismo pulmonar (TEP) representa una enfermedad con elevada mortalidad a nivel mundial; su incidencia oscila entre 95 a 100 por cada 100 000 habitantes con una mortalidad superior al 65 %. En Estados Unidos la prevalencia en pacientes hospitalizados, fue 0,4 % con más de 250 000 fallecimientos. En España durante el año 2010 se diagnosticaron 22 250 casos, con una mortalidad durante el ingreso del 8,9 %.(1)
Más de la mitad de los fallecimientos (alcanzando hasta el 90 %) por TEP ocurren en sujetos no diagnosticados y, por tanto, no tratados. Se conoce que la incidencia de TEP aumenta con la edad, y se duplica cada década hasta alcanzar su pico máximo en la cohorte de 70-80 años. Entre los factores etiológicos generales destaca la edad, inmovilización prolongada, antecedente de trombosis venosa profunda, uso de anticonceptivos orales y el embarazo.(2)
Los pacientes que desarrollan TEP generalmente tienen un antecedente de trombosis venosa profunda el mismo que se presenta como dolor y edema localizado a lo largo del sistema venoso profundo de extremidades inferiores o superiores. Un examen de dímero-D con sensibilidad apropiada en un paciente con baja probabilidad clínica, descarta TVP con tranquilidad. Los pacientes con probabilidad clínica moderada o alta deben someterse a una ecografía Doppler dúplex color venosa de toda la extremidad para excluir o confirmar el diagnóstico.(3)
La presentación clínica es variable, presentándose desde una disnea leve hasta un cuadro potencialmente mortal como el shock. El síntoma más frecuente de TEP es la disnea, el mismo que se manifiesta cuando el coágulo obstruye porciones proximales de la vasculatura pulmonar; hasta en el 50% de los pacientes puede presentar síntomas acompañantes como tos y hemoptisis.(4)
REPORTE DE CASO
Paciente de 73 años con antecedentes de DM tipo 2 diagnosticada hace 3 años sin tratamiento. Artritis reumatoide de 25 años de evolución en tratamiento con metrotexato + ácido fólico sin control periódico ni conocimiento del manejo de la mediación. Familiar refiere hace 2 semanas inició con tos acompañada de expectoración purulenta en moderada cantidad por lo que acuden con facultativo, quien prescribe suero oral y tabletas que paciente no recuerda. 24 horas previas al ingreso, cuadro se complica con dificultad respiratoria, tos, cianosis distal y malestar general por lo que acuden a la emergencia de esta casa de salud.
A su ingreso se objetiva; signos vitales: frecuencia cardiaca (FC) 136 lpm, frecuencia respiratoria (FR) 36 lpm, tensión arterial (TA) 110/60 mmHg, saturación de oxígeno (Sat O2) 50 %, glicemia capilar 510. Al examen físico piel pálida, cianosis peribucal. Faringe eritematosa, lengua saburral. Pulmones murmullo vesicular disminuido en todos los campos pulmonares, matidez en tercio medio y bases bilaterales, estertores y sibilancias diseminadas. Uso de musculatura accesoria, retracción supraesternal e intercostal, imposibilidad para el decúbito.
Se inicia con 15 litros de O2 por mascarilla con reservorio, ceftriaxona 1g intravenosa (IV) en ese momento (STAT) y luego c/12h, nebulizaciones con salbutamol 15 gotas + 2 cc de S.S. al 0,9 % y alternar con 15 gotas de bromuro de ipratropio c/6h, dexametasona 8mg IV STAT, correcciones con insulina de acción rápida, heparina sódica 5000 UI c/12h, morfina 5mg IV STAT. Se inicia con bomba de insulina de acción rápida 100 UI en 100cc de SS al 0,9 % a 6ml/h y se solicitan exámenes complementarios.
En los complementarios se aprecia leucocitosis franca con neutrofilia, hiperglicemia, elevación de azoados, hiponatremia leve, acidosis metabólica y un examen de orina infeccioso (tabla 1).
|
Tabla 1. Laboratorios de ingreso |
|||||||
|
Item |
Result |
Unit |
Range |
Gasometría arterial |
|||
|
Leucocitos |
19,41 |
10 3/uL |
3,50 – 9,50 |
Lactato |
1,91 |
mmol/l |
0,5 – 1,6 |
|
Neutrófilos |
90,65 |
% |
50,00 – 75,00 |
pH |
7,30 |
|
7,35 – 7,45 |
|
Linfocitos |
6,24 |
% |
20,00 – 50,00 |
pCO2 |
22,3 |
mmHg |
35 – 45 |
|
Hemoglobina |
13,2 |
g/dL |
11,5 – 15,0 |
pO2 |
73 |
mmHg |
70 - 100 |
|
Hematocrito |
41,6 |
% |
35,0 – 45,0 |
HCO3 |
10 |
mmol/l |
22- 26 |
|
Plaquetas |
330 |
10 3/uL |
125 - 350 |
BEecf |
-10 |
mmol/l |
-2 / +2 |
|
TP |
12,5’’ |
|
11,8’’ = 100 % |
Examen de orina |
|||
|
INR |
1,07 |
|
0,9 – 1,15 |
Color |
Amarillo |
||
|
TPT |
25’’ |
|
Hasta 40’’ |
pH |
1.02 |
||
|
Glucosa |
486 |
mg/dl |
70 - 110 |
Proteínas |
+ |
||
|
Urea |
72,1 |
mg/dl |
10 – 50 |
Sangre |
++ |
||
|
Creatinina |
1,86 |
mg/dl |
0,5 – 0,9 |
Nitritos |
No |
||
|
Calcio |
7,8 |
mg/dL |
8,1 – 10,4 |
Hematíes |
55 – 60 por campo |
||
|
Sodio |
133 |
milieq/L |
136 – 145 |
Cristales de urato |
+ |
||
|
Potasio |
4,37 |
milieq/L |
3,6 – 5,3 |
Bacterias |
++ |
||
|
Cloro |
101 |
milieq/L |
90 - 110 |
Piocitos |
35 a 45 por campo |
||
|
Dímero D |
1346 |
ng FEU/ml |
100 – 500 |
|
|
|
|
|
Antígeno SARS-COV2 |
Negativo |
|
|
|
|
|
|
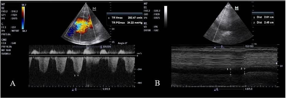
Se realiza electrocardiograma, donde se aprecia un ritmo sinusal y patrón S1Q3T3. Además, se practica un ecocardiograma al pie de cama (figura 1) donde se halla: vena cava inferior de 26 mmHg sin colapso inspiratorio (indicativo de presión en la aurícula derecha de 20 mmHg). Insuficiencia tricúspidea que permite estimar un gradiente de 34,9 mmHg. Que más la suma de la aurícula derecha, se estima una presión sistólica de la arteria pulmonar (PSAP) de 54 mmHg - presión media de la arteria pulmonar (PMAP) de 35,4 mmHg (hipertensión pulmonar severa utilizando la fórmula de Chemla). Se objetiva además signo de McConnell.

A. Gradiente de insuficiencia tricúspidea; B. Vena cava
Figura 1. Ecocardiograma y Ecofast
También durante el eco fast vascular de miembros inferiores. El miembro inferior izquierdo sin patología. En región femoral derecha se evidencia obstrucción de la arteria femoral superficial, obstrucción total con flujo arterial a predominio de la femoral profunda. Región arterial poplítea se evidencia flujo por desfiladero. Tibial anterior y posterior velocidad bajas con flujo diastólico alto que sugieren isquemia distal, pero sin criterio de tratamiento quirúrgico de inmediato.
Se realiza escala de Wells con una puntuación de 8,5 puntos con riesgo alto para tromboembolismo pulmonar (TEP).
Evolución
Paciente en sus 6 horas de hospitalización, glicemia en 72 mg/dl, se suspende bomba de insulina y se inician bolos de Dx al 10 %. Dependiente de 15 litros de oxígeno para saturar 85 %. Se realiza TAC simple de tórax (figura 2), que impresiona con tumor central pulmonar hiliar con linfoadenopatias mediastínicas, más cambios parenquimatosos pulmonares difusos sugestivos de hemorragia pulmonar con neumonitis difusa, más colelitiasis.

Tomografía simple de tórax: A. parénquima pulmonar con extensa hiperdensidad en vidrio esmerilado con broncograma aéreo, así como una disposición en empedrado lo que sugiere un cuadro neumonítico con hemorragia pulmonar.; B. masa pulmonar hiliar derecha adherida a la pared bronco tronco derecho que mide 43,6mm x 41,1 x 39,3.; C. áreas mediastínicas presencia de linfonodos en región paratraqueal derecha y a nivel de ventana aorto-pulmonar con tamaños de 11 y 12,2 mm.; D. macrolito intravesicular de 23,1mm con hígado con patrón difuso.
Figura 2. Tomografía de tórax
Con los resultados previos se añadió azitromicina 500mg oral por día. Se procede a cambiar SS al 0,9 por lactato de ringer añadiendo 2g de sulfato de magnesio en cada solución. Se suspende heparina y se coloca medias anti embólicas. Se corrige acidosis metabólica deacuerdo al déficit con 100 meq de bicarbonato en 500cc de lactato de ringer para pasar en 2 horas.
Paciente con un ritmo diurético de 0,3 ml/kg/h., e hipotensiones de 77/49 mmHg. Se suma bomba de norepinefrina con 500 cc de lactato de ringer + 8mg a 15 ml/h (dosis respuesta). Con lo que mejora presiones. Posteriormente ritmo diurético decae a 0,1ml/kg/h por lo que se añade furosemida 20mg IV STAT y c/8h.
Para la mañana siguiente paciente en control de paraclínicos se objetiva hipopotasemia leve y se decide corrección con soletroles en solución base. Se añade a la prescripción morfina 0,5mg una dosis y por razones necesarias. Glucosas durante el día se mantienen estables. El ritmo diurético de las 24 horas fue de 0,59 ml/kg/h.
Al día siguiente paciente en condición estacionaria, sin mejoría en la fórmula leucocitaria. Se decide rotar antibióticos a piperacilina + tazobactam 4,5g IV c/6h más clindamicina 600mg IV c/8h. Por la tarde se ecocardiograma en donde evidencia vena cava colapsó de 26mm a 24mm. Se inicia con bomba de morfina 10mg en 250 m de SS 0,9 % a 11ml/h. lactato de ringer se disminuye a 42ml/h.
Durante la tarde se recibe alerta por parte del personal de enfermería por disminución de la frecuencia cardiaca 41 lpm, tensión arterial 80/40 mmHg, ausencia de respiración, no responde a estímulos. Inmediatamente se aprecia en el monitor asistolia. Se inicia algoritmo para RCP avanzado durante 25 minutos sin obtener respuesta favorable, con lo que se da concluida la reanimación y se indica el fallecimiento de la paciente. Causa de muerte TEP.
DISCUSIÓN
El caso clínico que nos ocupa, se evidencia una paciente inestable hemodinamicamente con un cuadro respiratorio severo. Al examen físico en sala de urgencias destaca dificultad respiratoria, taquicardia, cianosis peribucal y estertores bilaterales a nivel pulmonar. El caso clínico expuesto, más lo exámenes complementarios realizados, evidencia un diagnóstico de neumonía, hemorragia alveolar, hipertensión pulmonar (HTP) y tromboembolismo pulmonar (TEP).
El ecocardiograma realizado demostró una presión sistólica de la arteria pulmonar (PSAP) de 54 mmHg. Las guías clínicas nos indican que ante una sospecha de HTP se puede utilizar una combinación de TRV (velocidad de regurgitación tricuspídea) y PASP, para orientar el diagnóstico. Un estudio demostró que su utilidad es moderada con respecto al cateterismo cardiaco derecho, pero se recomienda en ausencia del mismo.(5) La Sociedad Europea de Cardiología y la Sociedad Internacional de Trasplante de Corazón y Pulmón sugieren que la HTP es muy probable si la PASP es >50 mmHg.(6)
La HTP se clasifica en cinco grupos, según la etiología y el mecanismo. En nuestra paciente se sugiere un origen cardiaco, debido a una alteración – evidenciada en eco doppler - de la presión auricular derecha, acompañada de una insuficiencia tricuspídea. Por lo tanto, desde el punto de vista hemodinámico, más lo hallazgos encontrados, una presión arterial pulmonar media (PAPm; en decúbito supino y en reposo) de >20 mmHg se considera diagnóstica.(7)
La embolia pulmonar (EP) representa una obstrucción mecánica de una o más ramas de la vasculatura pulmonar, cuya causa generalmente se debe a un coágulo de sangre (tromboembolismo), sin embargo, puede existir otras etiologías menos comunes, como embolia séptica, embolia de líquido amniótico, embolia grasa, embolia tumoral, entre otras. La EP hemodinamicamente inestable se denomina “masiva”.(8)
El diagnóstico de TEP comienza con la estratificación del riesgo inicial basada en la presencia de hipotensión persistente (PAS <90 mmHg, una caída >40 mmHg por más de 15 min o la necesidad de vasopresores). La EP tiene una amplia variedad de características clínicas de presentación, que van desde ausencia de síntomas hasta shock o muerte súbita. En el caso de nuestra paciente se caracterizaba por un cuadro de insuficiencia respiratoria aguda severa desde el ingreso.(9)
Ante la sospecha de un TEP las guías recomiendan realizar una evaluación clínica pre test (p. ej., puntuación de Wells, puntuación de Wells modificada o puntuación de Ginebra modificada). Nuestra paciente obtuvo un puntaje de 8,5 según la escala de Wells modificada, constituyendo un riesgo alto para TEP. Estudios han determinado que la puntuación de Wells tiene una mejor precisión que la puntuación de Ginebra, para el diagnóstico de EP en pacientes ancianos hospitalizados de alto riesgo.(10)
El ecocardiograma en TEP nos podría ayudar a estratificar el riesgo y definir el pronóstico. Sobre todo, es muy sugestivo de TEP la disfunción del ventrículo derecho, que en el caso de la paciente se demostraba ante la prueba de imagen. Este estudio también nos ayuda a distinguir la sobrecarga aguda por TEP de una disfunción crónica por HTP.(11)
El dímero D de la paciente tenía un valor de 1346 ng/ml. Sin embargo, en pacientes con alta sospecha de TEP no es un dato de relevancia, puesto que en estas instancias tiene un valor predictivo negativo muy bajo, además de su baja especificidad; precisando priorizar un estudio por imagen (arteriografía pulmonar por tomografía computarizada).(12) Además, un dímero D elevado por sí solo no es suficiente para hacer un diagnóstico de EP. La prueba del dímero D se podría utilizar en conjunto con la evaluación de la probabilidad clínica.(13)
Las anomalías del electrocardiograma (ECG), aunque comunes en pacientes con sospecha de EP, son inespecíficas. Las anomalías históricamente consideradas indicativas de EP (patrón S1Q3T3, distención ventricular derecha, nuevo bloqueo incompleto de rama derecha, entre otros.) suelen ser poco frecuentes (menos del 10 %) pero pueden indicar una carga alta de coágulos. La paciente demostraba en el ECG un patrón S1Q3T3. Una revisión sistemática estableció que la distención ventricular derecha hallada en ECG, se asocia con un mayor riesgo de colapso hemodinámico o mortalidad a los 30 días, en pacientes con embolia pulmonar aguda.(14)
La TAC simple de tórax realizada en la paciente nos revela un cuadro neumonítico con presencia de una masa pulmonar con hemorragia alveolar. Estos hallazgos condicionan el tratamiento de la paciente, en el que estaría contraindicada la terapia anticoagulante; la misma que detiene la progresión del trombo y previene las recurrencias. Motivo por el cual inicialmente se mantuvo con tratamiento de soporte. La estratificación del riesgo de gravedad de la EP aguda y el riesgo de muerte prematura, ayuda a determinar la estrategia de manejo.(15)
En el tercer día de hospitalización la paciente presenta de forma abrupta hipotensión, síncope e hipoxia; con evidencia de fallo multiorgánico y un evento de shock obstructivo. Una revisión sistemática determinó que el síncope puede estar asociado con un mayor riesgo de mortalidad hospitalaria en pacientes hemodinámicamente inestables.(16) Es importante determinar las marcadas limitaciones, que en un momento eran menester considerarlas (ante la contraindicación de anticoagulación) como es la embolectomía quirúrgica. La paciente entró en actividad eléctrica sin pulso, que ante las maniobras de reanimación cardiopulmonar avanzadas, no tuvieron una respuesta exitosa.
Se ha demostrado en varios estudios que la terapia trombolítica para la EP masiva mejora la mortalidad a expensas de un aumento del sangrado.(17) Por lo tanto, para casos complejos de EP masiva con alto riesgo de hemorragia como en este caso, es importante tener una discusión interdisciplinaria emergente ya que la terapia trombolítica, mientras se trata la EP, puede conducir a una hemorragia catastrófica.(18,19)
CONCLUSIONES
La embolia pulmonar es una patología que se presenta 1 por cada 1000 casos, pero se incrementa con la edad.(20) Es importante un diagnóstico oportuno y tratamiento adecuado. Sin embargo, hay que valorar el beneficio de un tratamiento frente al estado y efectos adversos que podría tener en cada paciente. El individualizar cada caso puede ser decisivo para salvaguardar la vida de un paciente. En nuestro caso, por las comorbilidades presentadas, el tratamiento de la patología aguda, pudo haber empeorado el cuadro del paciente. Aunque el resultado no fue favorable, se aplicaron medidas posibles para estabilizar al paciente.
REFERENCIAS BIBLIOGRÁFICAS
1. Pérez Domínguez Julio Alberto, Ortega Varón Yalili Ramona, Leblanch Pérez Lisett, Medel Avíles Odalis, Rodríguez Peña Marian Maité. Factores influyentes en la muerte por tromboembolismo pulmonar. Multimed. 2021;25(3):e1974.
2. Lucena Romero Joaquín, Laborda Gálvez José L, Rodríguez González Lucía. Tromboembolismo pulmonar como causa de muerte súbita inesperada en personas de 1-35 años. CorSalud. 2017 ;9(3):215-217.
3. Sandoval Jorge, Florenzano Matías. Diagnóstico y tratamiento del Tromboembolismo Pulmonar. Revista Médica Clínica Las Condes. 2015;26(3):338–343. https://doi.org/10.1016/j.rmclc.2015.04.021
4. Miranda GLH, Linares RG, Robaina DS, León R de la CR. Análisis de la producción científica sobre uso de la ecografía en la reanimación cardiopulmonar en Scopus. Data & Metadata 2023;2:37. https://doi.org/10.56294/dm202337.
5. Finkelhor, R., Scrocco, J., Madmani, M., Rovner, A., & Pillai, D. Limitations and Strengths of Doppler/Echo Pulmonary Artery Systolic Pressure–Right Heart Catheterization Correlations: A Systematic Literature Review. Echocardiography. 2014;32(1):10–18. https://doi.org/10.1111/echo.12594
6. Galiè, N., Hoeper, N., Humbert, M., Torbicki T. Guidelines for the diagnosis and treatment of pulmonary hypertension. European Respiratory Journal. 2019;34(6):1219–1263. https://doi.org/10.1183/09031936.00139009
7. Lewis, J., & Hopkins, W. Clinical features and diagnosis of pulmonary hypertension of unclear etiology in adults. UpToDate. 2023. https://www.uptodate.com/contents/clinical-features-and-diagnosis-of-pulmonary-hypertension-of-unclear-etiology-in-adults?search=pulmonary%20hypertension&source=search_result&selectedTitle=1~150&usage_type=default&display_rank=1
8. Thompson, B. T., Kabrhel, C., & Peña, C. Clinical presentation, evaluation, and diagnosis of the nonpregnant adult with suspected acute pulmonary embolism. UpToDate. 2022. https://www.uptodate.com/contents/clinical-presentation-evaluation-and-diagnosis-of-the-nonpregnant-adult-with-suspected-acute-pulmonary-embolismsectionName=CLINICAL20PRESENTATION&search=pulmonary%20thromboembolism&topicRef=8253&anchor=H456585787&source=see_link#H456585787
9. Raja, A., Greenberg, J., Qaseem, A., Denberg, T., Fitterman, N., & Schuur, J. Evaluation of Patients With Suspected Acute Pulmonary Embolism: Best Practice Advice From the Clinical Guidelines Committee of the American College of Physicians. Annals Of Internal Medicine. 2015;163(9):701–11. https://doi.org/10.7326/M14-1772
10. Di Marca, S., Cilia, C., Campagna, A. Comparison of Wells and Revised Geneva Rule to Assess Pretest Probability of Pulmonary Embolism in High-Risk Hospitalized Elderly Adults. Journal of The American Geriatric Society. 2015;63(6):1091–1097. https://doi.org/10.1111/jgs.13459
11. Weekes, A., Thacker, G., Troha, D., Johnson, A., Chanler-Berat, J., Norton, H., Runyon, M. Diagnostic Accuracy of Right Ventricular Dysfunction Markers in Normotensive Emergency Department Patients With Acute Pulmonary Embolism. Ann Emerg Med. 2016;68(3):277–91. https://doi.org/10.1016/j.annemergmed.2016.01.027
12. Rodger, M., Le Ga, G., Wells, P., Baglin, T. Clinical decision rules and D-Dimer in venous thromboembolism: current controversies and future research priorities. Thromb Res. 2014;134(4):763–8. https://doi.org/10.1016/j.thromres.2014.07.031
13. Farm, M., Siddiqui, A., Onelöv, L., Järnberg, I., Eintrei, J. Age-adjusted D-dimer cut-off leads to more efficient diagnosis of venous thromboembolism in the emergency department: a comparison of four assays. Journal of Thrombosis and Haemostasis. 2018;16(5):866–875. https://doi.org/10.1111/jth.13994
14. Shopp, J., Stewart, L., Emmett, T., & Kline, J. Findings From 12-lead Electrocardiography That Predict Circulatory Shock From Pulmonary Embolism: Systematic Review and Meta-analysis. Academic Emergency Medicine. 2015;22(10):1127–1137. https://doi.org/10.1111/acem.12769
15. Vinson, D., Ballard, D., Mark, D., Huang, J. Risk stratifying emergency department patients with acute pulmonary embolism: Does the simplified Pulmonary Embolism Severity Index perform as well as the original? J Thromb Research. 2016;148:1–8. https://doi.org/10.1016/j.thromres.2016.09.023
16. Barco, S., Ende-Verhaar, Y., C, B., Jimenez, D., Lankeit, M., Huisman, M., Konstantinides, S., & Klok, F. Differential impact of syncope on the prognosis of patients with acute pulmonary embolism: a systematic review and meta-analysis. European Heart Journal. 2018;39(47):4186–4195. https://doi.org/10.1093/eurheartj/ehy631
17. Marder, V. Thrombolytic Therapy. Consultative Hemostasis and Thrombosis. 2013;3:526–537. https://doi.org/10.1016/B978-1-4557-2296-9.00028-2
18. Jiménez, D., Bikdeli, B., Barrios, D., Morillo, R. Management appropriateness and outcomes of patients with acute pulmonary embolism. European Respiratory Journal. 2018;51(5):1800445. https://doi.org/10.1183/13993003.00445-2018
19. Konstantinides, S., Meyer, G., Becattini, C., Bueno, H. 2019 ESC Guidelines for the diagnosis and management of acute pulmonary embolism developed in collaboration with the European Respiratory Society (ERS): The Task Force for the diagnosis and management of acute pulmonary embolism of the European Society of Cardiology (ESC). European Heart Journal. 2020;41(4):543–603. https://doi.org/10.1093/eurheartj/ehz405
20. Duffett L, Castellucci LA, Forgie MA. Pulmonary embolism: update on management and controversies. BMJ. 2020;370:m2177. https://doi.org/10.1136/bmj.m2177.
ABREVIATURAS
DM: Diabetes mellitus. FC: Frecuencia cardiaca. TA: Tensión arterial. Dx al 10 %: Dextrosa a una concentración del 10 %. TAC: Tomografía axial computarizada. SS al 0,9 %: Solución Salina con una concentración al 0,9 %. RCP: Reanimación cardio-pulmonar. TEP: Tromboembolismo pulmonar.
AGRADECIMIENTO
Los autores agradecen al paciente y a los médicos tratantes del paciente por brindarnos las herramientas necesarias para llevar a cabo la investigación presente.
DISPONIBILIDAD DE DATOS Y MATERIALES
Los datos que sustentan los hallazgos del presente caso clínico fueron obtenidos a través del registro clínico de la paciente.
CONSENTIMIENTO PARA PUBLICACIÓN
Todos los autores dieron su consentimiento para la publicación de este artículo.
APROBACIÓN ÉTICA Y CONSENTIMIENTO DE PARTICIPACIÓN
Los autores cuentan con todas las autorizaciones éticas correspondientes. Al ser un reporte de caso clínico en donde no se mencionan datos de identidad del paciente no se requirió consentimiento informado, los datos fueron manejados con confidencialidad y apego a las normas éticas.
FINANCIAMIENTO
El presente estudio es autofinanciado.
Los autores no reportan conflicto de interés.
CONTRIBUCIÓN DE AUTORÍA
Conceptualización: Edison Bolívar Ortiz Freire, Christian Alexander Lema Guaraca
Investigación: Pedro Manolo García Sarmiento, Mateo Sebastián García Sarmiento.
Redacción - borrador original: Germania Elizabeth Ortiz Freire, Mateo Sebastián García Sarmiento.
Redacción - Revisión y Edición: Edison Bolívar Ortiz Freire, Christian Alexander Lema Guaraca, Pedro Manolo García Sarmiento, Germania Elizabeth Ortiz Freire, Mateo Sebastián García Sarmiento, Rubén Argenis Maldonado Cabrera.