REPORTE DE CASO
Síndrome de Bayés y Síndrome de taquicardia-bradicardia: ¿consecuencia de la miocardiopatía auricular? Reporte de caso
Bayes syndrome and tachycardia-bradycardia syndrome: Consequences of atrial cardiomyopathy? Case report
Sthefany Cumandá Martínez Palacios1
*, Diego Xavier Chango Azanza2,3
*, Andrés Felipe Mercado González1
*, Javier Fernando Pinos Vásquez2,3
*
1Universidad Católica de Cuenca, Carrera de Medicina-Campus Cuenca. Cuenca, Ecuador.
2Hospital del Río, Cuenca, Ecuador.
3Centro Cardiológico del Austro, Cuenca, Ecuador.
Citar como: Martínez Palacios SC, Chango Azanza DX, Mercado González AF, Pinos Vásquez JF. Síndrome de Bayés y Síndrome de taquicardia-bradicardia: ¿consecuencia de la miocardiopatía auricular? Reporte de caso. Salud Cienc. Tecnol. 2022; 2:180. https://doi.org/10.56294/saludcyt2022180
Recibido: 20-11-2022 Revisado: 17-12-2022 Aceptado: 30-12-2022 Publicado: 31-12-2022
Editor:
Prof. Dr. Javier González Argote ![]()
RESUMEN
El Síndrome de Bayés y Síndrome de taquicardia-bradicardia son entidades diferentes que se presentan con un mismo mecanismo patogénico, la miocardiopatía auricular. Existen varias anomalías estructurales y eléctricas en esta patología recientemente descrita, teniendo como evento final a la fibrosis auricular. Se describe el caso de un paciente añoso que se presenta con síncope, bradicardia sinusal y bloqueo interauricular avanzado en el electrocardiograma basal. Un Holter de 24 horas fue capaz de demostrar la presencia de fibrilación auricular paroxística con pausas ventriculares significativas al término de los episodios arrítmicos. El implante de un marcapaso bicameral permitió controlar adecuadamente los síntomas.
Palabras claves: Bloqueo Interauricular; Cardiomiopatías; Fibrilación Auricular; Síndrome del Seno Enfermo.
ABSTRACT
The Bayes Syndrome and tachycardia-bradycardia Syndrome are different entities that present the same mechanism pathogenic, atrial myocardiopathy. There are several structural and electric abnormalities in this pathology described recently, having the fibrosis as the final event. Describes the case of an elderly patient with syncope, sinus bradycardia and advanced interatrial block in the baseline electrocardiogram. A 24 hours Holter was capable to demonstrate the presence of atrial fibrillation paroxistic with significant ventricular pauses in the finished of arrhythmic episodes. The dual-chamber pacemaker implant allowed to control the symptom properly.
Keywords: Atrial Fibrillation; Cardiomyopathies; Interatrial Block; Sick Sinus Syndrome.
INTRODUCCIÓN
La asociación de la Miocardiopatía Auricular (MA) como causa común del Síndrome de Bayés y Síndrome de Taquicardia-Bradicardia (STB), es una condición cardiológica rara. Hasta el momento no se cuenta con datos epidemiológicos de estas tres patologías asociadas. La prevalecía del Bloqueo interauricular avanzado (BIAa), se presenta en el 0,5 % en la población generalmente entre los 45 a 64 años; aumentando, al 8,2 % en mayores de 70 años y del 23,3 % en los que tienen 100 años.(1)
De la misma forma con la Enfermedad del Nodo Sinusal (ENS), se estima que aumenta el riesgo conforme progresa la edad; incrementa anualmente más de 75000 casos, estimándose que, en el 2060, va a existir más de 172000 pacientes con esta patología.(2)
La entidad clínica que incorpora un BIAa con la aparición consecutiva de taquiarritmias supraventriculares (TS), comúnmente flutter auricular o fibrilación auricular (FA), se denomina Síndrome de Bayés.(1)
El STB, como parte de la ENS, se presenta como pausas sinusales significativas (mayor a 3 segundos) posterior a un evento paroxístico de taquicardia supraventricular, en especial flutter o fibrilación auricular(3) que pueden llevar al desarrollo de síncope.(2)
El Síndrome de Bayés y el STB, tienen como mecanismo común al daño estructural y funcional de la aurícula izquierda (AI).(1,2) El daño de las aurículas, ha sido denominado miocardiopatía auricular.(4)
La fibrosis es la causa más frecuente en el bloqueo interauricular (BIA), formando parte de la evolución del remodelado auricular, histopatológicamente se observa una destrucción de los miocitos y colágeno-glucógeno alrededor de las células (1) y en la ENS la causa intrínseca más importante es la fibrosis degenerativa a nivel del nódulo sinoauricular; con una alteración en el canal iónico (nucleótido cíclico y sodio con dependencia de voltaje tipo V en la subunidad alfa ) y remodelado en el nodo sinusal.(2)
CASO CLÍNICO
Paciente masculino de 88 años, con antecedentes patológicos de hipertensión arterial primaria hace 15 años en tratamiento con Ibersartán, 300 mg/día, además hipotiroidismo hace 5 años tratado con Levotiroxina, 75 mg/día, depresión hace 2 años, tratado con Mirtazapina, 15 mg/día y Clonazepam, 1 mg/día.
Historia de 3 meses de evolución con episodios de diaforesis, malestar general y síncope precedido de palpitaciones rápidas. El paciente consultó el servicio de emergencias, donde fue evidenciada la FA de alta respuesta ventricular en electrocardiograma (ECG) basal.
Fue referido a centro de tercer nivel, donde se encontraba asintomático. Fue repetido el ECG evidenciándose una bradicardia sinusal y BIAa (bloqueo del Haz de Bachman) (Figura 1).
Figura 1. Electrocardiograma del ingreso

Por sospecha de STB se realiza Holter de 24 horas que reveló episodios paroxísticos de FA con pausas ventriculares significativas (de hasta 3.5 segundos) posteriores a los paroxismos de FA, y relacionándose con presíncope (Figura 2).
Figura 2. Monitor Holter de 24 horas

Se realiza un ecocardiograma transtorácico con vista de cuatro cámaras (arriba) y dos cámaras (abajo) apical. Se observa disminución del Strain pico sistólico de la AI con un valor de 18 % (valor normal > 35 %) como dato sugestivo de disfunción diastólica y alteración de la relajación a nivel del ventrículo izquierdo (figura 3).
Figura 3. Ecocardiograma transtorácico

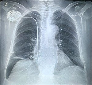
Se decide colocar un implante de marcapaso bicameral, con electrodo auricular en apéndice auricular derecho y con electrodo ventricular en septo ventricular medio, por STB como causa de una miocardiopatía auricular, procedimiento que se efectúa sin ninguna complicación; posteriormente, se realizó una radiografía de tórax, confirmando que el marcapaso y sus electrodos, se encontraban en una ubicación dentro de rangos normales (Figura 4). Fue dado de alta con Apixaban y Bisoprolol.
Figura 4. Radiografía de tórax

Se efectuaron controles posteriores, manteniéndose asintomático durante 6 meses postimplante de marcapasos, sin recurrencia del sincope. Además, han sido evidenciados pocos eventos de FA paroxística, todos ellos asintomáticos.
Discusión
Los mecanismos patológicos subyacentes al síndrome de Bayés es la fibrosis y remodelado auricular, que son los sustratos principales que desencadenan disincronía y falla auricular, insuficiencia cardíaca y un estado protrombótico que originan ciertas complicaciones como ACV y demencia.(1)
Se ha establecido la hipótesis, en la que explica que el remodelado estructural de la aurícula fibrótica puede originar el BIA por irrigación alterada en la región de Bachmann; por lo que, un proceso isquémico o enfermedad arterial coronaria pueden ser el motivo del BIA.(5)
Vaikhanskaya et al.(6), revelaron que los cambios o alteraciones producidas en la MA, conducen en la mayoría de los casos a una FA; por este motivo, el ecocardiograma speckle tracking o Doppler, resonancia magnética con contraste evalúan el grado de FA; además, presentaron dos casos clínicos; el primero fue diagnosticado de MA primaria por alteración genética familiar a causa de una mutación del gen péptido natriurético A (NPPA) y Síndrome de Bayés con un incremento de N-terminal pro-péptido natriurético cerebral (NT-proBNP); mientras que, en el segundo caso, se presentó con MA secundaria y Síndrome de Bayés con dilatación de la AI y disfunción del nodo sinoauricular.
La MA, tiene un origen multifactorial, referidos a este los más importantes son: la genética, edad, insuficiencia cardíaca, apnea obstructiva del sueño, FA, hipertensión arterial y valvulopatías(4), las cuales son el sustrato principal del Síndrome de Bayés y STB;(1,2) así mismo, la ansiedad aumenta el riesgo cardiovascular con un peor pronóstico, pues se encuentra relacionado independientemente a la MA.(4)
En la actualidad no hay un patrón diagnóstico estandarizado para la MA; sin embargo, se sugiere realizar un ECG, en el que se evidencia un incremento de la fuerza de la onda P en su terminación (PTFV1),(7) un ecocardiograma que indica una AI aumentada de tamaño y en los exámenes de laboratorio un aumento de los NT-proBNP, el péptido natriurético cerebral (BNP), y el péptido natriurético atrial (ANP);(4) la resonancia magnética cardíaca (RMC) con contraste, es el estándar de oro para determinar los cambios morfológicos y fisiológicos.(7)
Otro método, es el sistema de mapeo electroanatómico, el cual es un método invasivo, con mayores complicaciones en comparación a la RMC.(7)
La ecocardiografía por Strain de la AI mediante el Speckle Tracking, cuantifica la funcionalidad miocárdica e identifica una disfunción de la AI previo a la aparición de cambios estructurales, en lo que respecta a la MA. Actualmente, sirve para la identificación de insuficiencia cardíaca, episodios de FA y la MA con una sensibilidad del 92,3 % y un 82,4 % de especificidad para el diagnóstico de la MA.(7)
Alderete y Centurión, informaron que las pausas sinusales generadas entre cada taquiarritmia auricular en el STB, se produce sobre todo por una MA establecida y por el envejecimiento del nodo sinusal como causa intrínseca; existen dos teorías del mecanismo patológico; la primera, hace referencia a la dificultad en la reproducción del impulso en el nodo sinusal; y la segunda, explica una anomalía del impulso eléctrico desde el nodo sinusal.(8) La causa principal y de mayor relevancia es la fibrosis de origen degenerativa idiopática.(8)
En algunas ocasiones el BIA, se convierte en una patología transitoria, cuando se trata la alteración de base.(9) En cambio, en el STB el manejo y el tratamiento de primera línea es la implantación del marcapaso en el 30 % al 50 % de los casos,(2) pudiéndose evitar o reemplazar con ablación por catéter en más del 85 % de los pacientes con FA, evitando las infecciones o miocardiopatías provocadas por el marcapaso.(3) La ablación por catéter disminuye: la sintomatología, la tasa de mortalidad, hospitalizaciones, ACV, trombosis periférica, insuficiencia cardíaca y la conversión a FA persistente.(10)
El pronóstico de la ablación por catéter; según Hada et al.(11), en 65 pacientes con 3 años de seguimiento, obtuvieron una tasa de éxito del 80,6 % en el tratamiento; igualmente Kim et al.(12) en una muestra de 121 participantes con STB, demostraron que el 90,9 % no requirieron de un implante de marcapasos.
CONCLUSIÓN
La MA, tiene un efecto directo en la alteración morfológica y funcional de la aurícula, siendo el envejecimiento una de las casusas principales; al momento, no se cuenta con ningún tratamiento; sin embargo, se sabe que es una patología que influye en el desarrollo del Síndrome de Bayés y STB.
Hasta el momento de este reporte, no hay evidencia en la literatura de estas tres entidades conjuntas, ya que muchas de las veces son subdiagnosticadas por el personal de la salud.
El Síndrome de Bayés, no dispone de un tratamiento concreto; debido a que, la mayoría de las veces se lo hace con la patología base y existe una respuesta terapéutica adecuada; en el caso del paciente se trató el STB evidenciando una mejoría en el cuadro clínico del Síndrome de Bayés; para lo cual, se colocó un marcapaso bicameral sin ninguna complicación y el paciente tuvo una mejoría de su cuadro clínico inicial.
REFERENCIAS BIBLIOGRÁFICAS
1. de Luna AB, Martínez-Sellés M, Bayés-Genís A, Elosua R, Baranchuk A. What every clinician should know about Bayés syndrome. Revista Española de Cardiología (English Edition). 2020;73(9):758-62. https://doi.org/10.1016/j.rec.2020.04.026.
2. Chang W, Li G. Clinical review of sick sinus syndrome and atrial fibrillation. Herz. 2022 Jun;47(3):244-250. https://doi.org/10.1007/s00059-021-05046-x.
3. Zhang R, Wang Y, Yang M, Yang Y, Wang Z, Yin X, et al. Risk Stratification for Atrial Fibrillation and Outcomes in Tachycardia-Bradycardia Syndrome: Ablation vs. Pacing. Frontiers in Cardiovascular Medicine. 2021; 8:674471. https://doi.org/10.3389/fcvm.2021.674471.
4. Li M, Ning Y, Tse G, Saguner AM, Wei M, Day JD, Luo G, Li G. Atrial cardiomyopathy: from cell to bedside. ESC Heart Fail. 2022;9(6):3768-3784. https://doi.org/10.1002/ehf2.14089.
5. Baranchuk A, Alexander B, Cinier G, Martinez-Selles M, Tekkesin AI, Elousa R, et al. Bayés’ syndrome: Time to consider early anticoagulation? Northern clinics of Istanbul. 2018;5(4):370. https://doi.org/10.14744%2Fnci.2017.60251
6. Vaikhanskaya TG, Kurushko TV, Persianskikh Yu A, Sivitskaya LN. Atrial cardiomyopathy—a new concept with a long history. Russian Journal of Cardiology. 2020;25(11):3942. https://doi.org/10.15829/1560-4071-2020-3942.
7. Kreimer F, Gotzmann M. Left Atrial Cardiomyopathy - A Challenging Diagnosis. Front Cardiovasc Med. 2022 Jun 30; 9:942385. https://doi.org/10.3389/fcvm.2022.942385.
8. Alderete JF, Centurión OA. Conceptos actuales sobre la clasificación clínica y alteraciones electrofisiológicas en la disfunción del nódulo sinusal. Memorias del Instituto de Investigaciones en Ciencias de la Salud. 2018;16(2):113-122. https://doi.org/10.18004/mem.iics/1812-9528/2018.016(02)113-122.
9. Jacinto ML, y Mayor MRC, Juárez VMÁ. Bloqueo interatrial (síndrome de Bayés). Anales Médicos de la Asociación Médica del Centro Médico ABC. 2019;64(1):35-42.
10. HIndricks G, Potpara TS, Dagres N, Lainez EA, Bax JJ, Lundqvist CB, et al. Guía ESC 2020 sobre el diagnóstico y tratamiento de la fibrilación auricular, desarrollada en colaboración de la European Association of Cardio-Thoracic Surgery (EACTS): Guía de práctica clínica. Revista española de cardiología. 2021;74(5):437-437. https://doi.org/10.1016/j.recesp.2016.11.014.
11. Hada M, Miyazaki S, Kajiyama T, Yamaguchi M, Kusa S, Nakamura H, et al. Catheter ablation of paroxysmal atrial fibrillation in patients with sick sinus syndrome. Heart and Vessels. 2019;34(3):503-8. https://doi.org/10.1007/s00380-018-1256-8.
12. Kim DH, Choi JI, Lee KN, Ahn J, Roh SY, Lee DI, et al. Long-term clinical outcomes of catheter ablation in patients with atrial fibrillation predisposing to tachycardia-bradycardia syndrome: a long pause predicts implantation of a permanent pacemaker. BMC Cardiovascular Disorders. 2018;18(1):1-8. https://doi.org/10.1186/s12872-018-0834-0.
FINANCIACIÓN
No existe financiación para el presente trabajo.
CONFLICTO DE INTERESES
Los autores declaran no tener ningún conflicto de interés.
CONTRIBUCIÓN DE AUTORÍA
Conceptualización: Sthefany Martínez, Diego Chango, Andrés Mercado, Javier Pinos.
Investigación: Sthefany Martínez, Diego Chango, Andrés Mercado, Javier Pinos.
Metodología: Sthefany Martínez, Diego Chango, Andrés Mercado, Javier Pinos.
Administración del proyecto: Sthefany Martínez, Diego Chango, Andrés Mercado, Javier Pinos.
Redacción-borrador original: Sthefany Martínez, Diego Chango, Andrés Mercado, Javier Pinos.
Redacción- revisión y edición: Sthefany Martínez, Diego Chango, Andrés Mercado, Javier Pinos.